症例詳細
Case detail
部分矯正を併用した奥歯のインプラント補綴治療
治療症例の内容
- 患者様
- 50代男性
- 治療期間
- 1年3ヶ月
- 治療回数
- 10-30回
- 治療計画
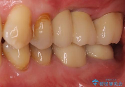
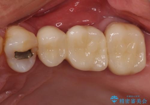
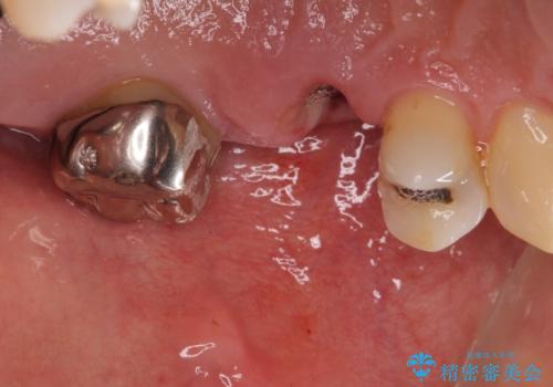
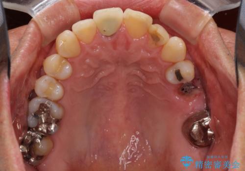
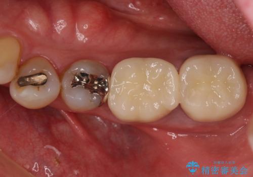
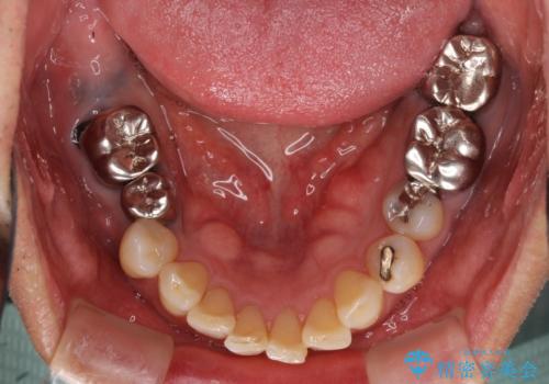
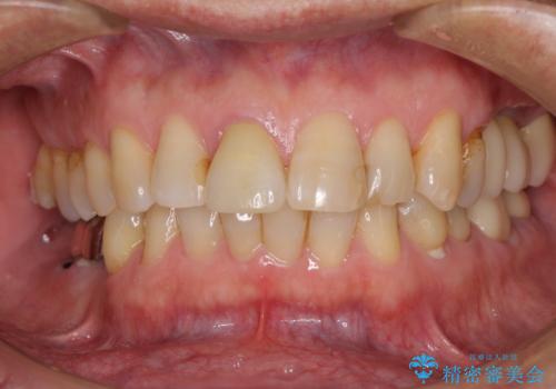
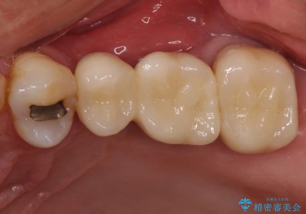
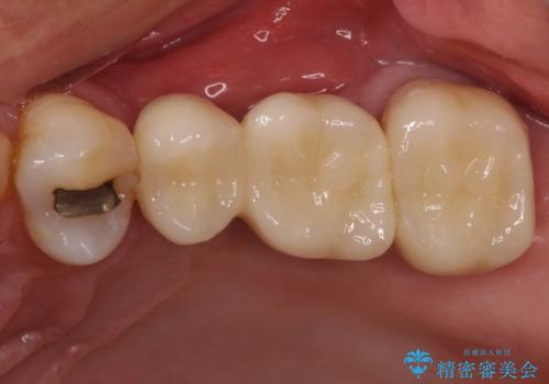
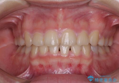
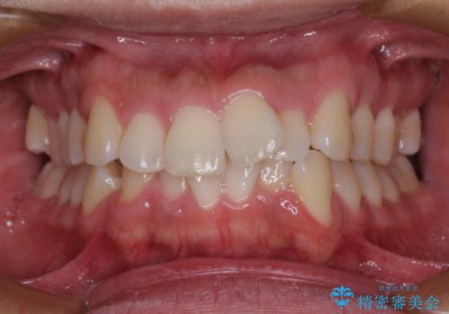
- 奥歯を他院で抜歯した後、インプラント治療を希望とのことで来院された患者様です。
ブリッジの支台を抜歯したことで2本のインプラントが必要であり、その後方はインプラント埋入に必要な骨量が不足していたため、上顎洞粘膜の挙上を行うこととしました。
また、残っている最後方歯は手前に倒れてきていたため、部分矯正により奥に移動させてから、インプラント埋入を行うこととしました。
- 費用(概算)
- 治療費の目安: 120万円費用は治療当時の料金となります
治療について
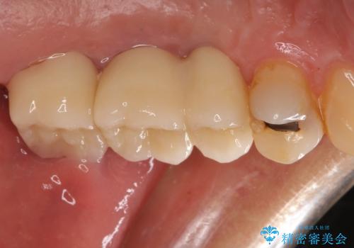
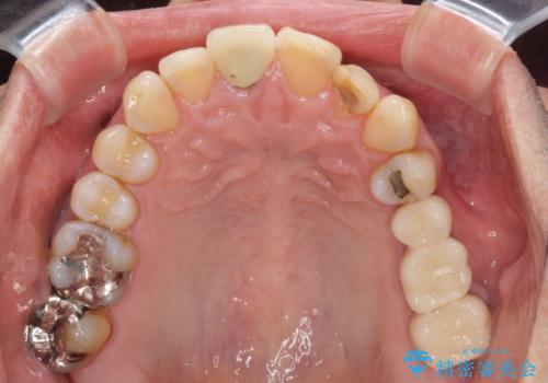
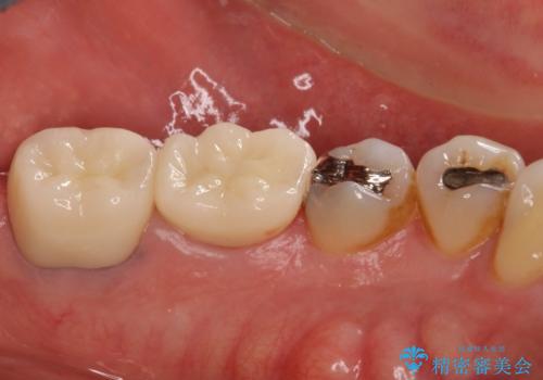
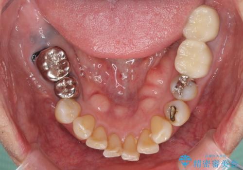
部分矯正期間中はアンカースクリューやフック、ゴムなどが粘膜にあたり、大変な思いをすることになりましたが、そのおかげでインプラント補綴した歯と最後方歯の位置が非常に良好となり、まるでご自身の歯のように咬むことができるようになりました。
インプラント治療の注意事項(リスク・副作用など)
- 外科手術のため、術後に痛みや腫れ、違和感を伴います
- メンテナンスを怠ったり喫煙により、お口の中に大きな悪影響を及ぼすインプラント周囲炎等にかかる可能性があります
- 糖尿病、肝硬変、心臓病等の場合、インプラント治療ができない可能性があります
- 高血圧、貧血・不整脈等の場合、インプラント治療後に治癒不全を招く可能性があります
- 自費診療(保険適用外治療)となります
セラミック治療の注意事項(リスク・副作用など)
- 天然歯を削ります
- 硬い素材は天然歯を傷つけてしまう場合があります
- かみ合わせや歯ぎしりが強すぎる方はセラミックが割れてしまう可能性があります
- 自費診療(保険適用外治療)となります
当サイトの内容、テキスト、画像等の無断転載、複製、複写、盗用を固く禁じます。


























