症例詳細
Case detail
奥に引っ込んでいる歯をセラミックでかぶせたい 補綴前矯正 50代男性
治療症例の内容
- 患者様
- 50代男性
- 治療期間
- 2年
- 治療回数
- 10-30回
- 治療計画
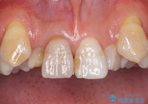
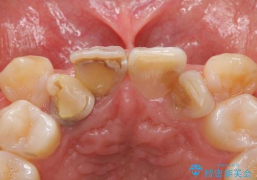
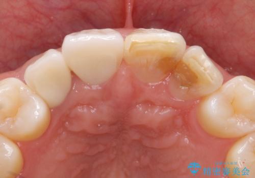
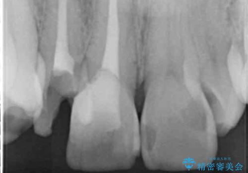
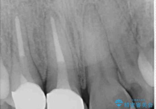
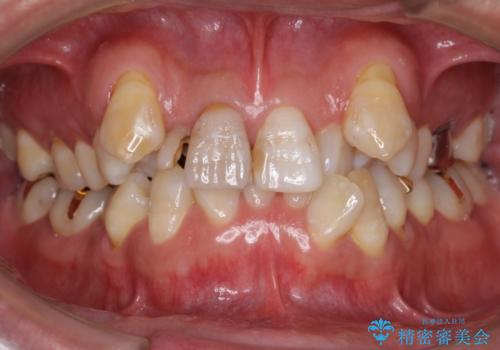
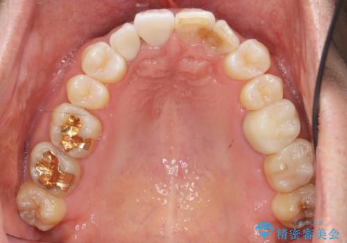
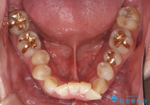
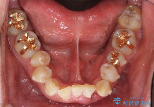
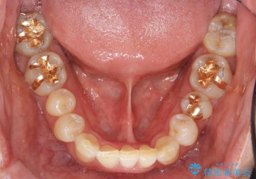
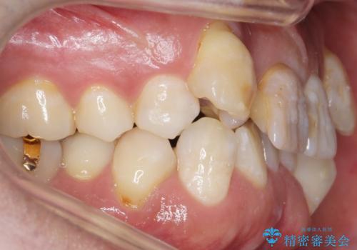
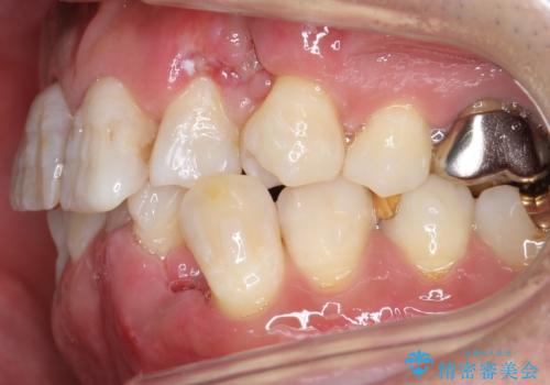
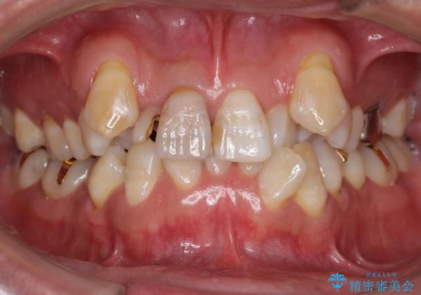
- 神経が死んでいる前歯2本(右上21)をセラミッククラウンでかぶせたいとご希望され、来院された患者様です。
歯並びにより、そのままだときれいに被せ物をいれられない状態でした。
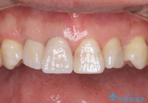
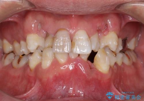
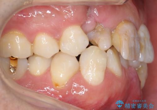
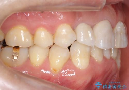
補綴前矯正としてマウスピース矯正(インビザライン)を行った後、セラミッククラウンによる補綴治療を行いました。
矯正の動的治療期間:1年10ヶ月
セラミック補綴治療期間:2ヶ月
※矯正について
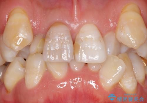
重度の叢生(歯並びのがたがた)のため、
①小臼歯抜歯でしっかりと歯並びを整える矯正治療
②前歯のセラミック治療を行いやすくするための補綴前矯正
の2つの治療方針を提案しました。
患者様の「できるだけ短期間で治療を終わらせたい、セラミックが入れられたら良いので大がかりなことはしたくない」とのご要望により、3Dシミュレーションを何度も行い患者様とのコンサルを重ね、上顎左右犬歯と左下2を抜歯して②のプランである補綴前矯正(インビザライン)を行うことにしました。
寿命が長く機能的に重要な役目を果たす犬歯を抜くリスクや、矯正治療の仕上がりに限界があることをご理解頂いた上で治療を行っております。
親知らずの抜歯はご希望されなかったため行いませんでした。
- 費用(概算)
- ¥1,350,000 (インビザライン フル、仮歯、土台、被せ物)費用は治療当時の料金となります
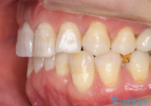
治療について
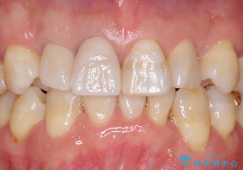
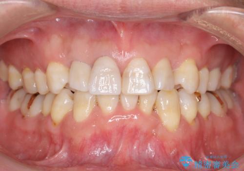
仕上がりに限界はありましたが、比較的短期間で歯並びが整いセラミック治療を行うことができ、患者様に「治療して良かった」とご満足頂けました。
左上1の歯の表面にもともと凹凸とグラデーションがあり、気になるようならセラミックでかぶせるのも一つだと提案しましたがご希望されなかったため、その表面性状を再現して右上1のセラミッククラウンを作製しています。
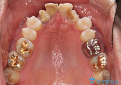
~被せ物の種類~
右上21:ジルコニアクラウン スペシャル
左上6:ジルコニアクラウン スタンダード
左上7:e-max press セラミックインレー
犬歯の抜歯について
犬歯は歯根が長く寿命も長い歯で、咀嚼機能時も重要な役目を果たすため、基本的に矯正の便宜抜歯に選択する歯ではありません。(一般的には第一小臼歯もしくは第二小臼歯が選択されることが多いです)
本症例では、様々な抜歯パターンの3Dシミュレーションを行い患者様と相談を重ねリスクをご理解頂いた上で、患者様のご希望により例外的に犬歯の抜歯を行いました。
小臼歯の歯根長が長いことを治療前にレントゲンで確認し抜歯部位を決定しました。
側方運動時に大きな役割をもつ犬歯がないため、今後の定期健診で歯の状態を注意深く観察していく必要があります。
セラミック治療の注意事項(リスク・副作用など)
- 天然歯を削ります
- 硬い素材は天然歯を傷つけてしまう場合があります
- かみ合わせや歯ぎしりが強すぎる方はセラミックが割れてしまう可能性があります
- 自費診療(保険適用外治療)となります
マウスピース矯正の注意事項(リスク・副作用など)
- 口腔内・歯並びの状態によっては対応できない場合があります
- マウスピース型矯正装置の長時間装着(1日20時間以上)が必須です
- 治療計画通りに進めるためには、患者様の意志が重要になります
- 矯正治療後の保定が不十分だと後戻り(元の位置に戻ろうとする動き)をします
- 薬機法対象外の矯正歯科装置のため医薬品副作用被害救済制度の対象外となる場合があります
- 自費診療(保険適用外)となります
当サイトの内容、テキスト、画像等の無断転載、複製、複写、盗用を固く禁じます。

































