症例詳細
Case detail
空気が抜けて話しにくい前歯のブリッジの作り直し オールセラミックブリッジにて審美的に仕上げる
治療症例の内容
- 診療科目
- 治療カテゴリ
- 担当医
- 藤巻太一朗(ドクタープロフィール)
- 患者様
- 40代女性
- 治療期間
- 3ヶ月
- 治療回数
- 2-5回
- 治療計画
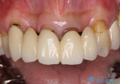
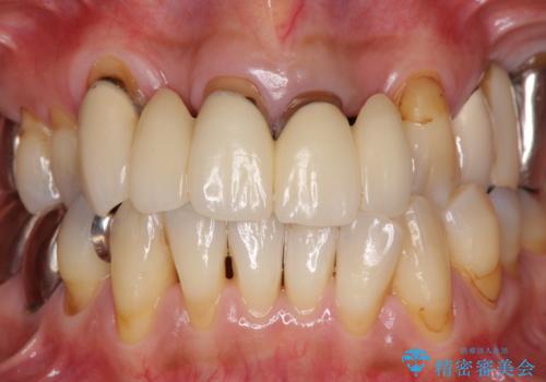
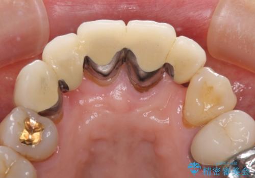
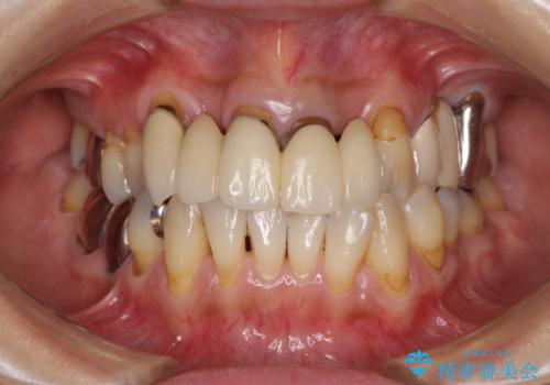
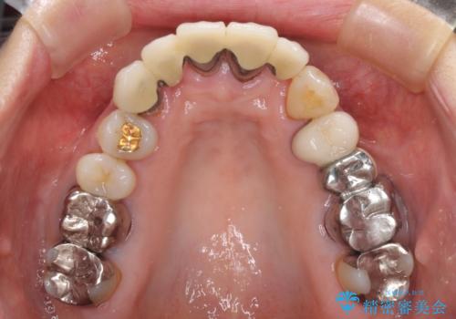
- ブリッジと歯肉の隙間にものが挟まったり空気が抜けたり、歯肉ラインの黒い縁が目立ってしまったりと、前歯のブリッジの作り直しを希望して来院された患者様です。
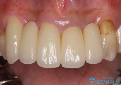
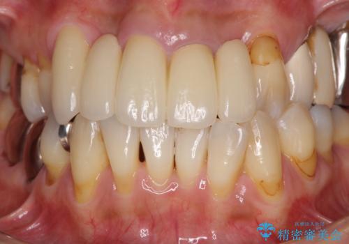
自然な仕上がりとするため、金属を使用しないオールセラミックブリッジにより補綴治療を行うこととしました。
- 費用(概算)
- 治療費の目安: 60万円費用は治療当時の料金となります
治療について
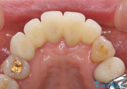
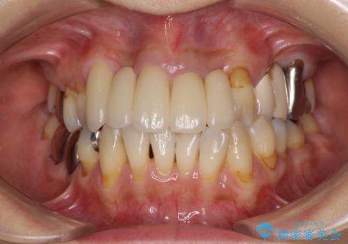
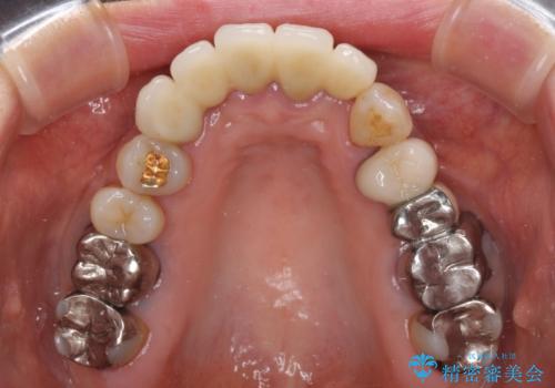
露出していた歯根や金属の縁が見えてしまい、なかなか口を開けて笑うことができなかったのですが、歯肉の位置に縁を合わせることで自然な仕上がりとなりました。
ブリッジの隙間にものが詰まったり、空気が抜けたりすることも無くなり、話しやすさも改善することができました。
露出していた歯根が覆われるため、歯冠が長く見えてしまうことが懸念されましたが特に気になることはなく、患者様には大変満足していただきました。
セラミック治療の注意事項(リスク・副作用など)
- 天然歯を削ります
- 硬い素材は天然歯を傷つけてしまう場合があります
- かみ合わせや歯ぎしりが強すぎる方はセラミックが割れてしまう可能性があります
- 自費診療(保険適用外治療)となります
当サイトの内容、テキスト、画像等の無断転載、複製、複写、盗用を固く禁じます。
















