症例詳細
Case detail
根管治療中の転院 奥歯のオールセラミック治療
治療症例の内容
- 診療科目
- 治療カテゴリ
- 担当医
- 藤巻太一朗(ドクタープロフィール)
- 患者様
- 20代男性
- 治療期間
- 3ヶ月
- 治療回数
- 2-5回
- 治療計画
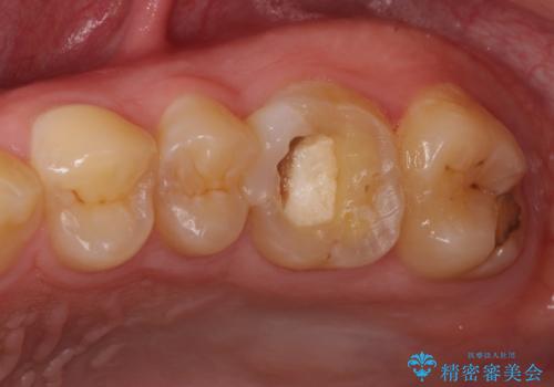
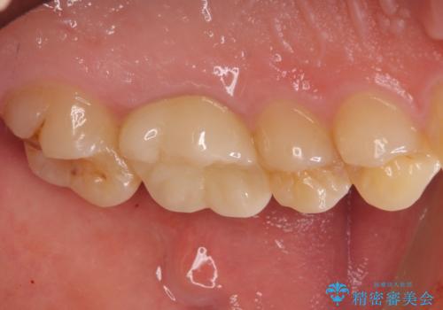
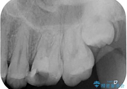
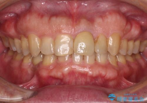
- ラバーダムや顕微鏡を用いた根管治療を希望されて、転院された患者様です。
前医にて神経を取り除いた処置を行った際、ラバーダムが使用されなかったとのことで転院されてきました。
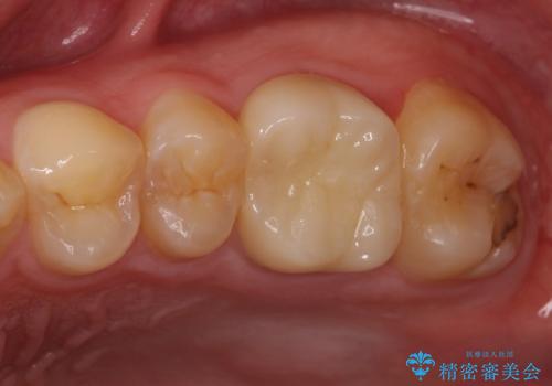
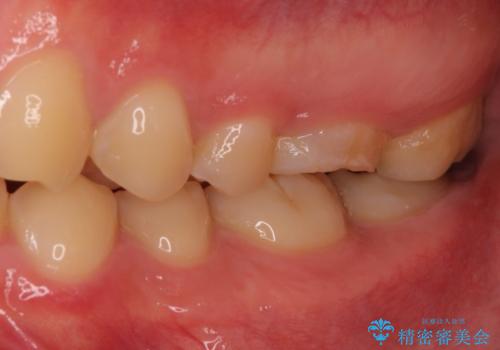
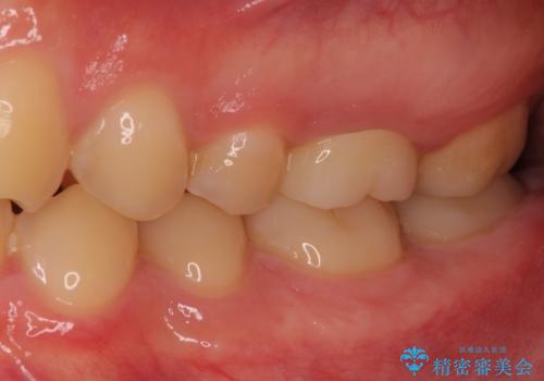
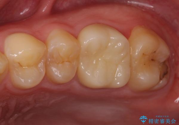
根管治療を実施した後、フルジルコニアクラウンに補綴することとしました。
- 費用(概算)
- 治療費の目安: 23万円費用は治療当時の料金となります
治療について
前医での処置後、治療前には気にならなかった痛み続いていたようですが、当院での処置後は痛みが徐々に引いていき、治療から半年が経過した時点では全く違和感も感じなくなりました。
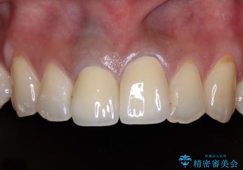
根管治療後のクラウンも、まるでもとの自分の歯のように自然な仕上がりとなり、患者様には大変満足していただけました。
セラミック治療の注意事項(リスク・副作用など)
- 天然歯を削ります
- 硬い素材は天然歯を傷つけてしまう場合があります
- かみ合わせや歯ぎしりが強すぎる方はセラミックが割れてしまう可能性があります
- 自費診療(保険適用外治療)となります
根管治療の注意事項(リスク・副作用など)
- 根管治療により類似の全ての症例の問題が解決するわけではなく、症例はあくまでも一例です
- 根管治療により痛みや腫れがひかない事や、術後に痛みや腫れが生じる事、治療によるファイル破折やパーフォレーションなどの偶発症、術後の歯根破折を生じる可能性もあります
- 自費診療(保険適用外)となります
当サイトの内容、テキスト、画像等の無断転載、複製、複写、盗用を固く禁じます。












