症例詳細
Case detail
前歯のすきま 受け口 インビザラインで
治療症例の内容
- 患者様
- 20代男性
- 矯正装置
- インビザライン
- 治療期間
- 1年2ヶ月
- 治療回数
- 10-30回
- 治療計画
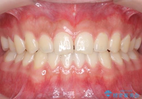
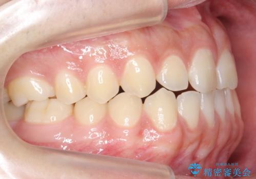
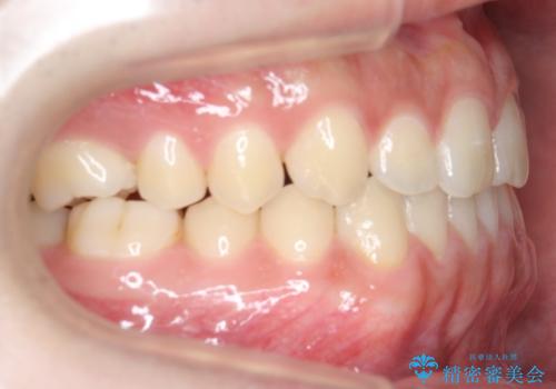
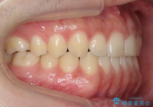
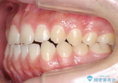
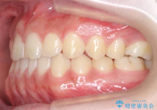
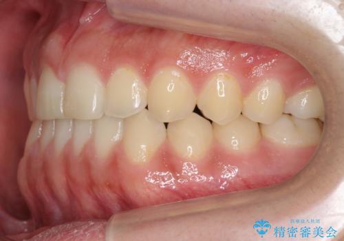
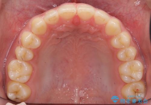
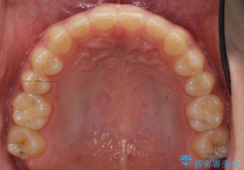
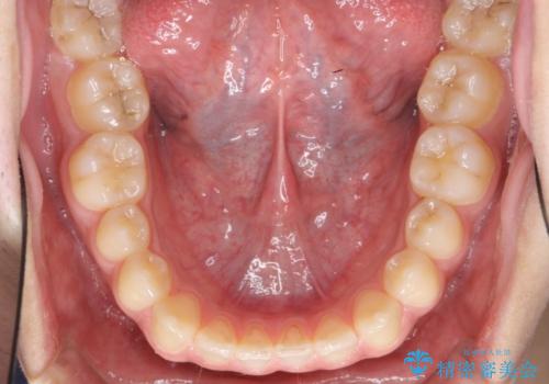
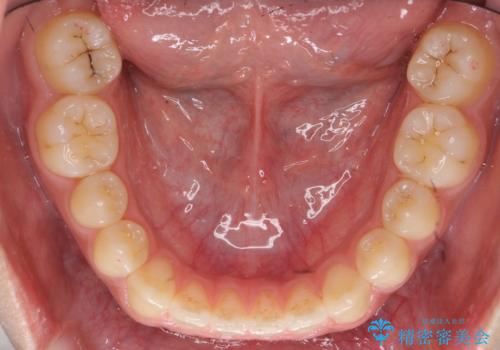
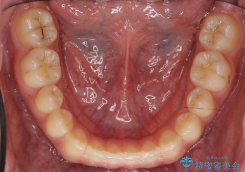
- 前歯のすき間を気にして来院。
受け口もあり、前歯が端同士であたる、切端咬合となっていました。
下の歯のすき間を閉じて上の歯の内側に入るように位置付けました。
すき間もきれいに閉じ、満足していただきました。
- 費用(概算)
- 85万円費用は治療当時の料金となります
治療について
上の前歯は下の歯と直接へりが当たっていた状態(切端咬合)だったため、形がいびつだったのは、わずかにやすりがけをして整えました。
セラミックですき間を閉じようとすると、すきまをうめるために巨大な歯になり、また、下の歯が前に出て強く当たるため、セラミックがかけるおそれがあります。また、下の歯をさけようとすると角度をかえるために歯を極端に削らなければならなくなり、神経をとらなければいけなくなるリスクもあります。
このような歯並びは、セラミックでかぶせるよりは、矯正治療の
適応と言えます。
マウスピース矯正の注意事項(リスク・副作用など)
- 口腔内・歯並びの状態によっては対応できない場合があります
- マウスピース型矯正装置の長時間装着(1日20時間以上)が必須です
- 治療計画通りに進めるためには、患者様の意志が重要になります
- 矯正治療後の保定が不十分だと後戻り(元の位置に戻ろうとする動き)をします
- 薬機法対象外の矯正歯科装置のため医薬品副作用被害救済制度の対象外となる場合があります
- 自費診療(保険適用外)となります
当サイトの内容、テキスト、画像等の無断転載、複製、複写、盗用を固く禁じます。

















