症例詳細
Case detail
前歯 インプラントによる欠損補綴
治療症例の内容
- 患者様
- 40代女性
- 治療期間
- 8ヶ月
- 治療回数
- 5-10回
- 治療計画
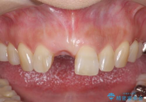
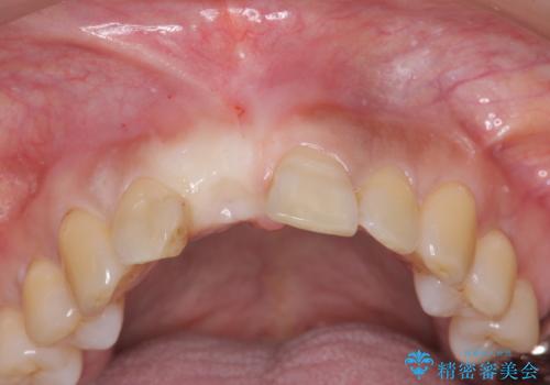
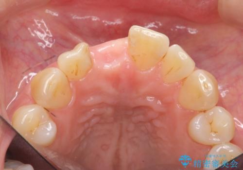
- 目立つ一番前の歯を失い、接着剤で応急処置をしていましたが永続性のある修復を希望され来院されました。
入れ歯・ブリッジ・インプラントによる欠損補綴の方法のうち審美的で取り外しがなく隣の歯を削らない治療を望まれたため、インプラントによる審美・機能回復治療を計画します。
- 費用(概算)
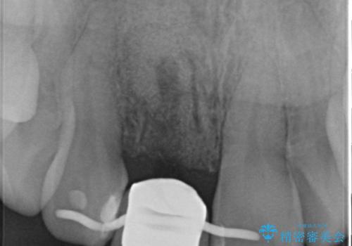
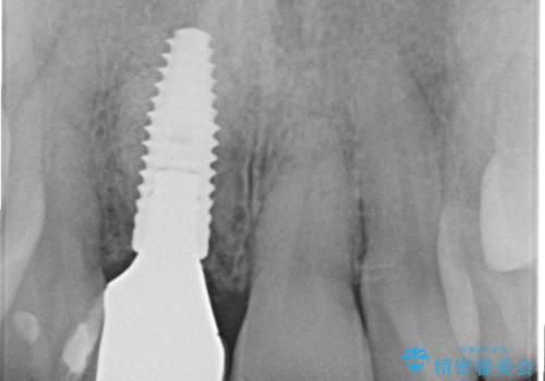
- 50万円(ストローマンインプラント・骨造成・ジルコニアカスタムアバットメント・ジルコニアクラウン)費用は治療当時の料金となります
前歯のインプラント治療について
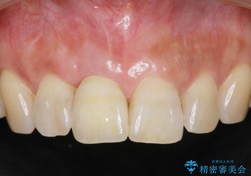
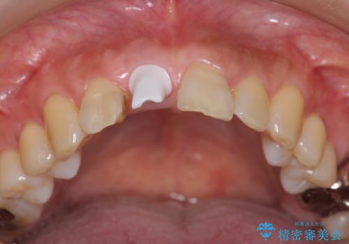
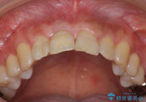
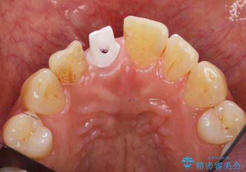
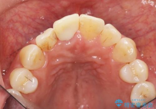
前歯のインプラント治療は適切に行えば、ブリッジのように隣の歯を削らずに審美的で機能的な状態に仕上げることが可能です。
インプラント周囲に十分な骨や歯ぐきの厚みの整備を行うことで、審美的なインプラントの仕上がりを達成することができます。
インプラント治療の注意事項(リスク・副作用など)
- 外科手術のため、術後に痛みや腫れ、違和感を伴います
- メンテナンスを怠ったり喫煙により、お口の中に大きな悪影響を及ぼすインプラント周囲炎等にかかる可能性があります
- 糖尿病、肝硬変、心臓病等の場合、インプラント治療ができない可能性があります
- 高血圧、貧血・不整脈等の場合、インプラント治療後に治癒不全を招く可能性があります
- 自費診療(保険適用外治療)となります
当サイトの内容、テキスト、画像等の無断転載、複製、複写、盗用を固く禁じます。















