症例詳細
Case detail
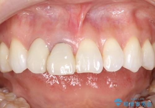
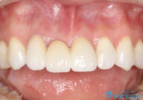
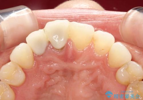
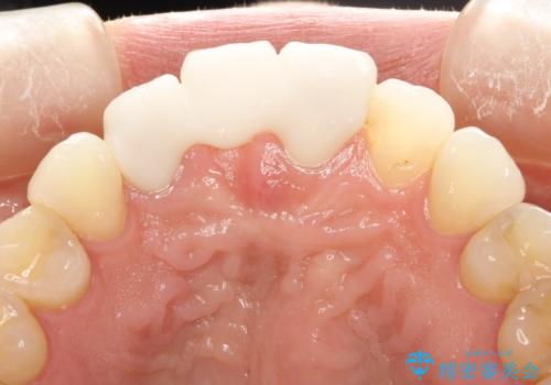
前歯がぐらぐらする 抜歯→ブリッジへ
治療症例の内容
- 患者様
- 30代女性
- 治療期間
- 5ヶ月
- 治療回数
- 2-5回
- 治療計画
- 抜歯前提の歯根挺出により保存の難しい前歯を抜去
→根管治療のやり直しなどを経て、ブリッジを製作する。
- 費用(概算)
- 約47万円費用は治療当時の料金となります
治療について
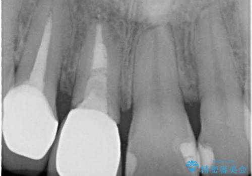
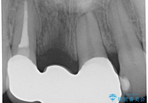
古いかぶせ物は土台ごと歯から脱落してしまっており、歯の内面には複数の亀裂が入っている状態でした。残存歯質が非箔であることと、動揺の程度から、やむを得ず抜歯→ブリッジという方法を選択していただき、歯根挺出を用いることでなるべく前歯の骨の陥没を防ぎ、ブリッジを製作しました。
かぶせ物の種類:PFZ standard
根管治療の注意事項(リスク・副作用など)
- 根管治療により類似の全ての症例の問題が解決するわけではなく、症例はあくまでも一例です
- 根管治療により痛みや腫れがひかない事や、術後に痛みや腫れが生じる事、治療によるファイル破折やパーフォレーションなどの偶発症、術後の歯根破折を生じる可能性もあります
- 自費診療(保険適用外)となります
セラミック治療の注意事項(リスク・副作用など)
- 天然歯を削ります
- 硬い素材は天然歯を傷つけてしまう場合があります
- かみ合わせや歯ぎしりが強すぎる方はセラミックが割れてしまう可能性があります
- 自費診療(保険適用外治療)となります
当サイトの内容、テキスト、画像等の無断転載、複製、複写、盗用を固く禁じます。














