症例詳細
Case detail
前歯をきれいにしたい ジルコニアクラウンによる審美治療
治療症例の内容
- 診療科目
- 治療カテゴリ
- 担当医
- 大元洋佑(ドクタープロフィール)
- 患者様
- 20代女性
- 治療期間
- 1ヶ月
- 治療回数
- 2-5回
- 治療計画
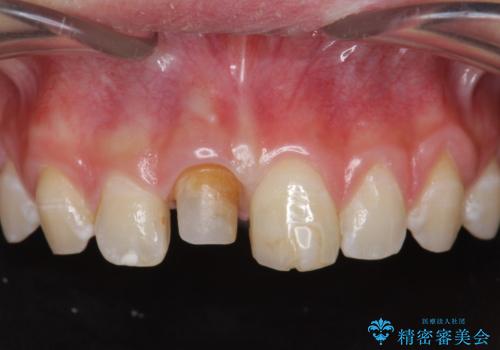
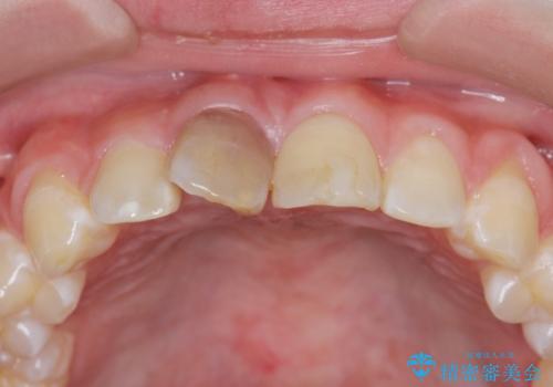
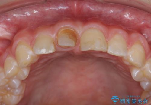
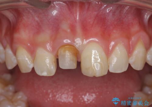
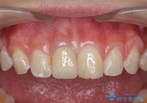
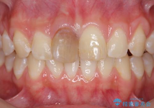
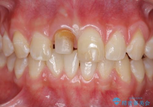
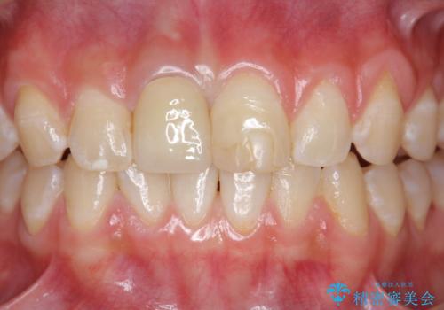
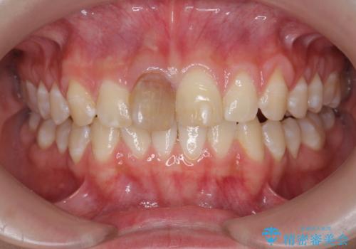
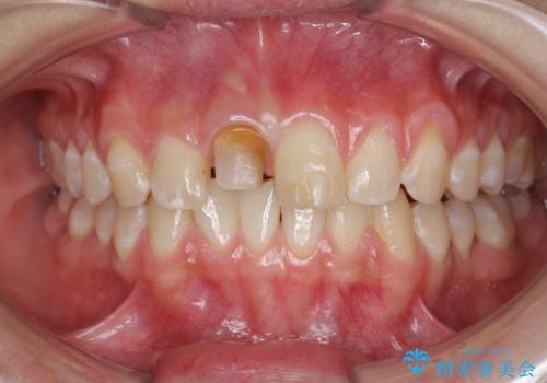
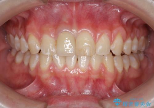
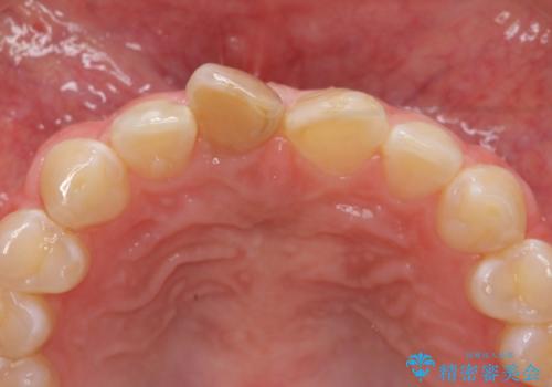
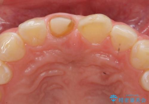
- 前歯の見た目の改善を求めて来院されました。
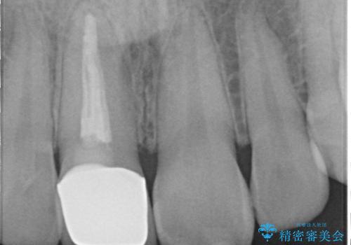
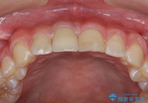
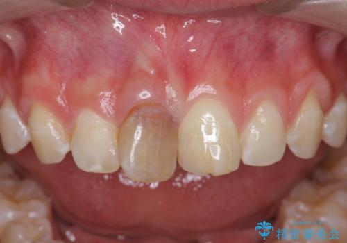
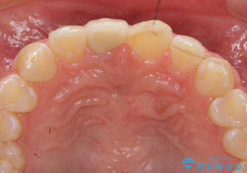
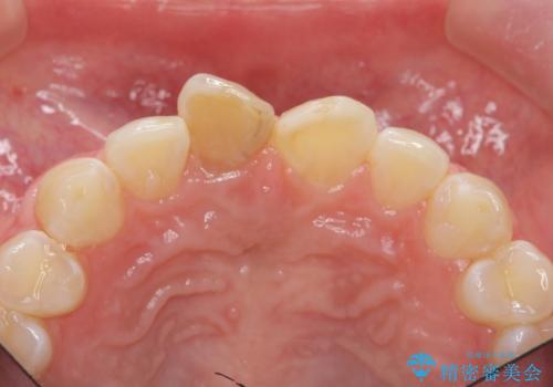
ジルコニアクラウンによる審美性の改善を計画します。
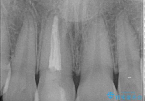
失活歯のため捻転を改善し、根管治療は特に希望されなかったのでそのままとしました。
- 費用(概算)
- 11万円(仮歯・ジルコニアクラウン)費用は治療当時の料金となります
失活歯について
今回失活歯であったため捻転を取り反対側の前歯に揃えて補綴を行うことができました。
セラミック治療の注意事項(リスク・副作用など)
- 天然歯を削ります
- 硬い素材は天然歯を傷つけてしまう場合があります
- かみ合わせや歯ぎしりが強すぎる方はセラミックが割れてしまう可能性があります
- 自費診療(保険適用外治療)となります
当サイトの内容、テキスト、画像等の無断転載、複製、複写、盗用を固く禁じます。
























