症例詳細
Case detail
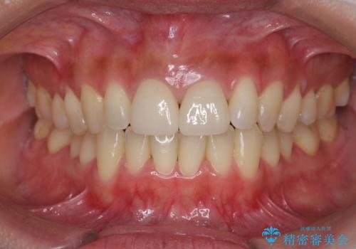
短期集中 前歯審美治療
治療症例の内容
- 担当医
- 大元洋佑(ドクタープロフィール)
- 患者様
- 20代女性
- 治療期間
- 1ヶ月
- 治療回数
- 2-5回
- 治療計画
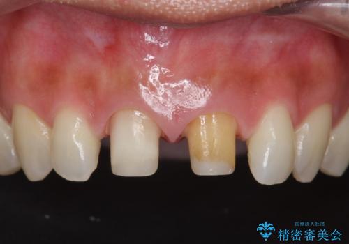
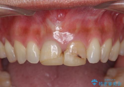
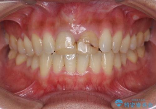
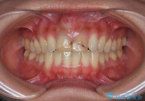
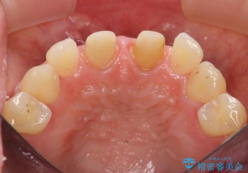
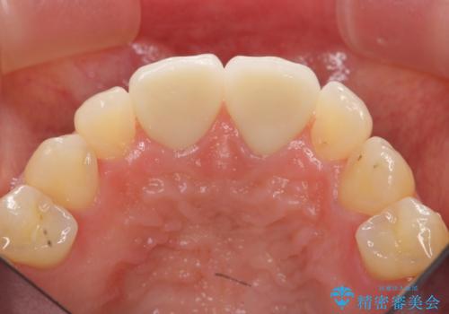
- 3週間後に迫った結婚式までになんとか前歯をきれいにしたいという希望で来院されました。
一回の治療時間を長く取り、限られた時間で最大限の結果を出せるよう集中治療を計画します。
- 費用(概算)
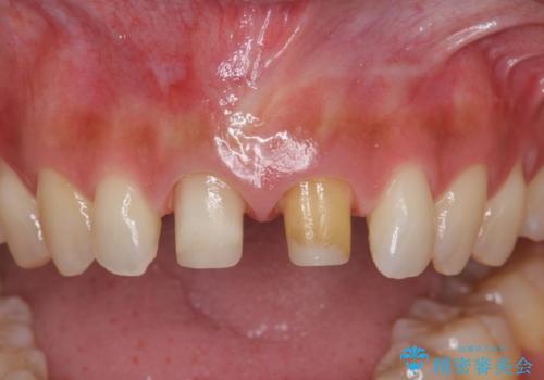
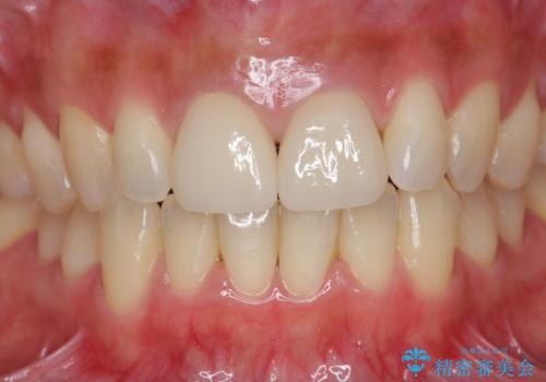
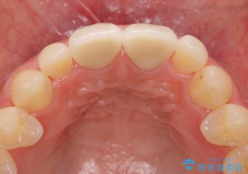
- 32万円(仮歯・ファイバーコア・ジルコニアクラウンスペシャル×2)費用は治療当時の料金となります
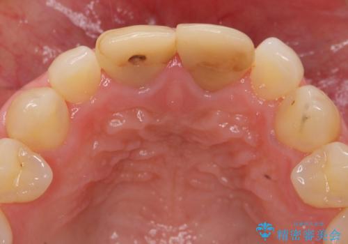
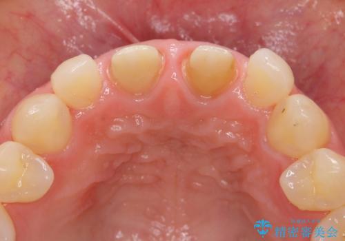
治療について
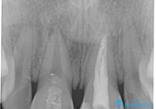
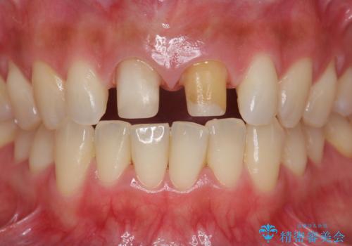
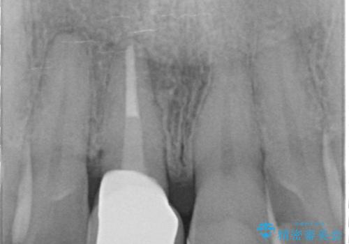
ただ見えるクラウンを白くきれいにするのではなく、長期的な歯の予後を考えると根管治療・ファイバーコア築盛・精密な歯牙形成等クリアすべき条件は多々あると言えます。
セラミック治療の注意事項(リスク・副作用など)
- 天然歯を削ります
- 硬い素材は天然歯を傷つけてしまう場合があります
- かみ合わせや歯ぎしりが強すぎる方はセラミックが割れてしまう可能性があります
- 自費診療(保険適用外治療)となります
当サイトの内容、テキスト、画像等の無断転載、複製、複写、盗用を固く禁じます。





















