症例詳細
Case detail
古くなった前歯のブリッジをオールセラミックに
治療症例の内容
- 診療科目
- 治療カテゴリ
- 担当医
- 藤巻太一朗(ドクタープロフィール)
- 患者様
- 40代女性
- 治療期間
- 2ヶ月
- 治療回数
- 2-5回
- 治療計画
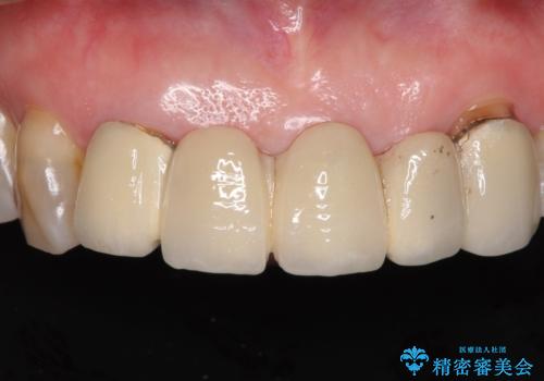
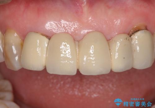
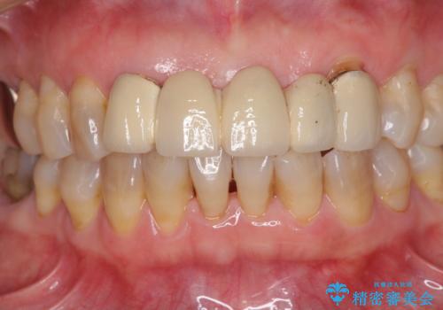
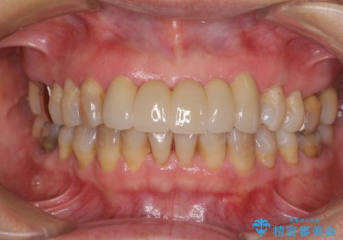
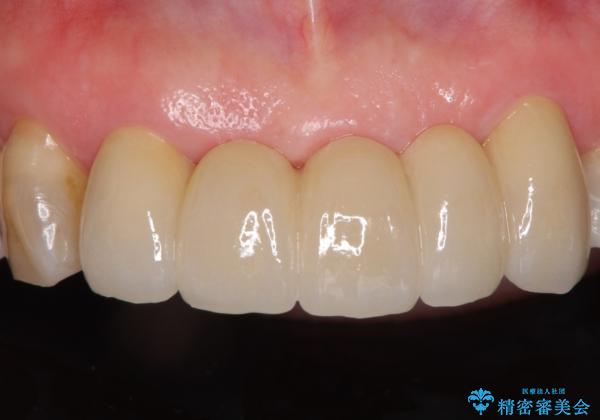
- アンバランスな色や形、歯肉ラインの黒い縁が目立ってしまったブリッジの作り直しを希望して来院された患者様です。
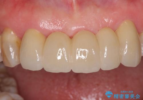
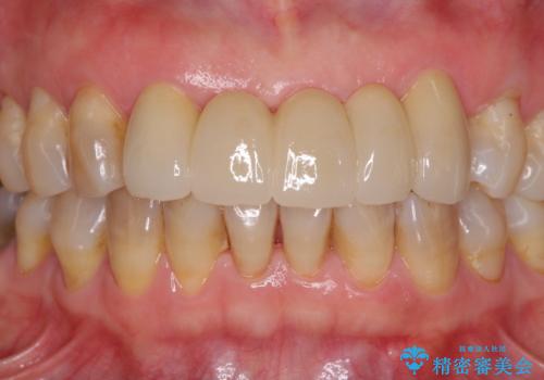
自然な仕上がりとするため、金属を使用しないオールセラミックブリッジにより補綴治療を行うこととしました。
- 費用(概算)
- 治療費の目安: 55万円費用は治療当時の料金となります
治療について
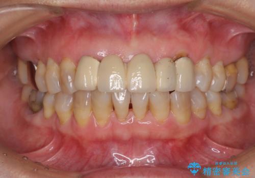
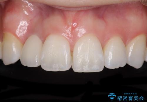
装着されていたブリッジは、支台となっている歯と欠損している歯で色が大きく異なっていましたが、オールセラミックとしたことで、全体的に色調の整った仕上がりとなりました。
歯肉ラインがきれいに整い、患者様には大変満足していただきました。
セラミック治療の注意事項(リスク・副作用など)
- 天然歯を削ります
- 硬い素材は天然歯を傷つけてしまう場合があります
- かみ合わせや歯ぎしりが強すぎる方はセラミックが割れてしまう可能性があります
- 自費診療(保険適用外治療)となります
当サイトの内容、テキスト、画像等の無断転載、複製、複写、盗用を固く禁じます。














