症例詳細
Case detail
前歯の反対咬合 非抜歯のワイヤー矯正
治療症例の内容
- 診療科目
- 担当医
- 藤巻太一朗(ドクタープロフィール)
- 患者様
- 20代女性
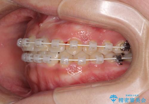
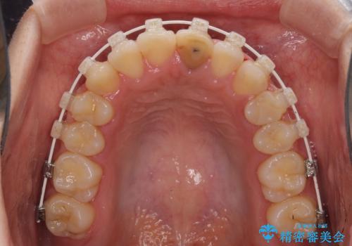
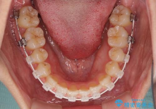
- 矯正装置
- 審美装置
- 治療期間
- 9ヶ月
- 治療回数
- 5-10回
- 治療計画
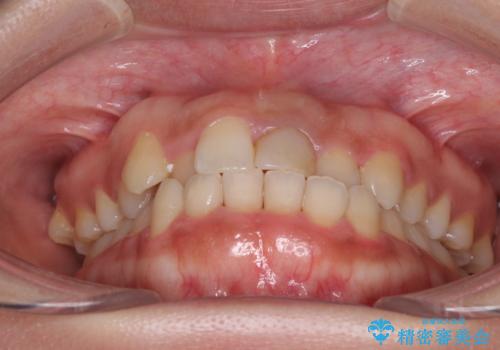
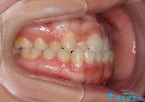
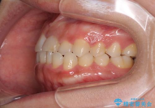
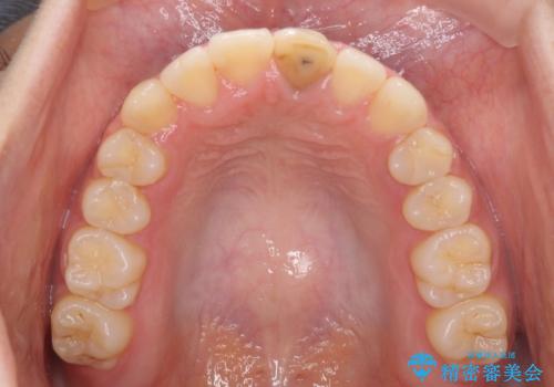
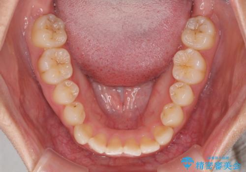
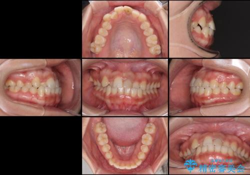
- 前歯のでこぼこを気にして来院された患者様です。
マウスピース矯正の自己管理が面倒くさいことと、治療を早く終わらせたいとのことで、目立ちにくいワイヤー矯正にて歯列を整えることとしました。
- 費用(概算)
- 治療費の目安: 85万円費用は治療当時の料金となります
治療について
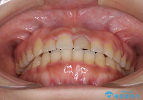
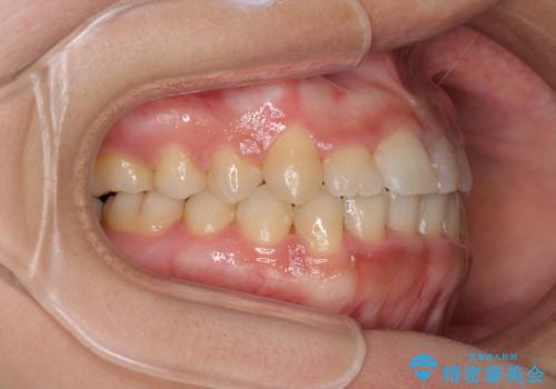
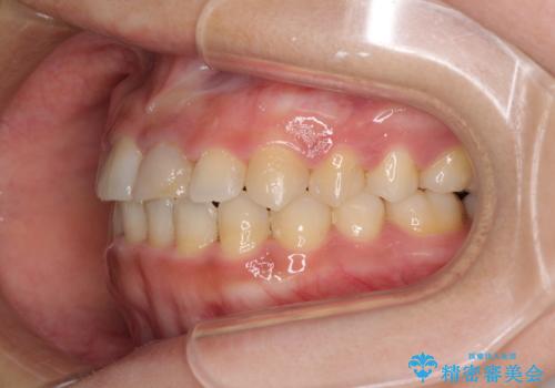
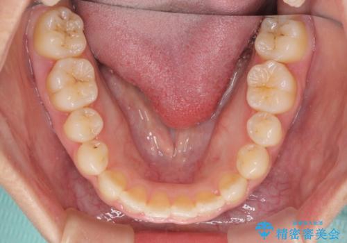
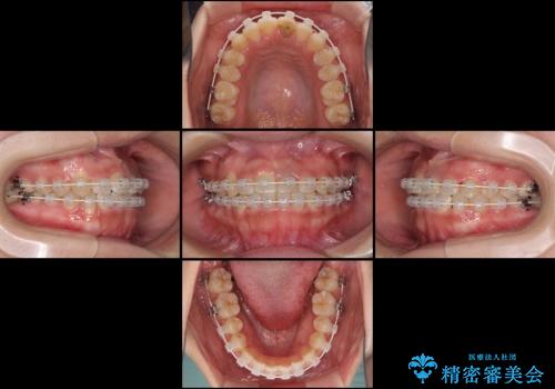
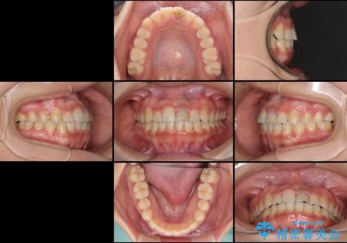
1年半はかかると思っていた治療期間ですが、反対咬合となっている前歯が思いの外早く動き、僅か9ヶ月で終了させることができました。
前歯を気にせず笑えるようになり、患者様には大変満足していただきました。
ワイヤー矯正の注意事項(リスク・副作用など)
- 治療中は違和感や痛みが起こることがあります
- 症状により、抜歯が必要な場合があります
- 治療中は歯磨きがしにくくなるため、虫歯や歯周病になりやすくなります
- 矯正治療後の保定が不十分だと後戻り(元の位置に戻ろうとする動き)をします
- 自費診療(保険適用外)となります
当サイトの内容、テキスト、画像等の無断転載、複製、複写、盗用を固く禁じます。




























