症例詳細
Case detail
インビザラインによる、すきっ歯の改善
治療症例の内容
- 担当医
- 藤巻太一朗(ドクタープロフィール)
- 患者様
- 30代男性
- 矯正装置
- インビザライン
- 治療期間
- 1年5ヶ月
- 治療回数
- 10-30回
- 治療計画
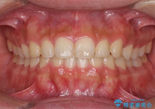
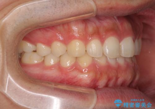
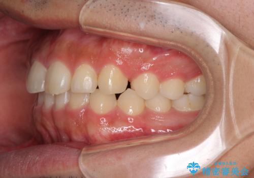
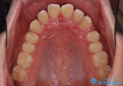
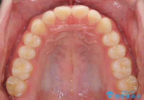
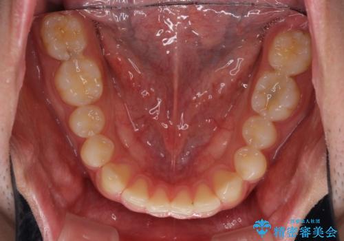
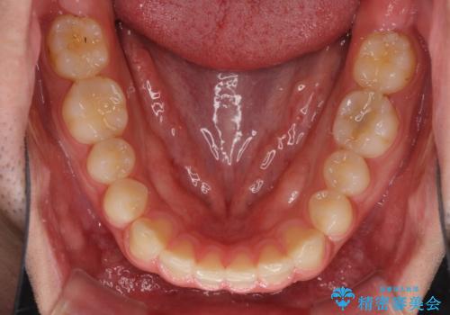
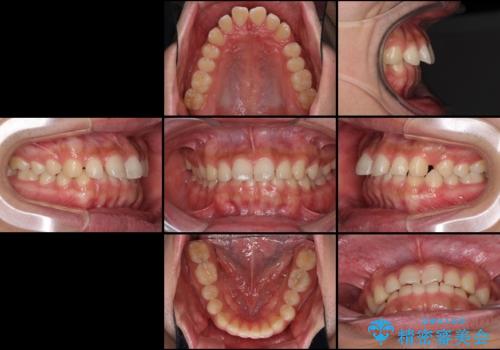
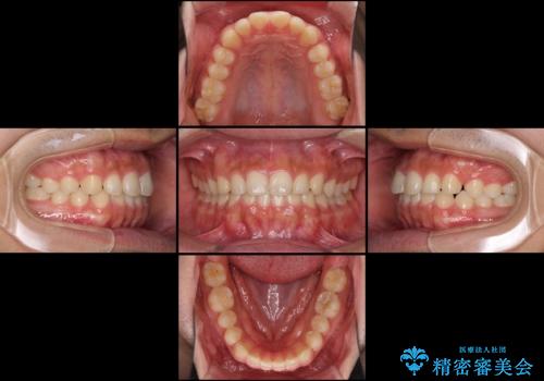
- 前歯がすきっ歯であることを気にして来院された患者様です。
下の前歯がほとんど隠れてしまうくらいの深い咬み合わせであったので、インビザラインを用いて、咬み合わせの高さを改善しながら隙間を閉じていくこととしました。
- 費用(概算)
- 治療費の目安: 75万円費用は治療当時の料金となります
治療について
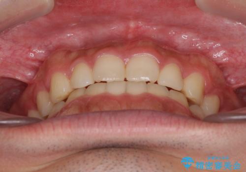
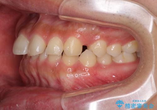
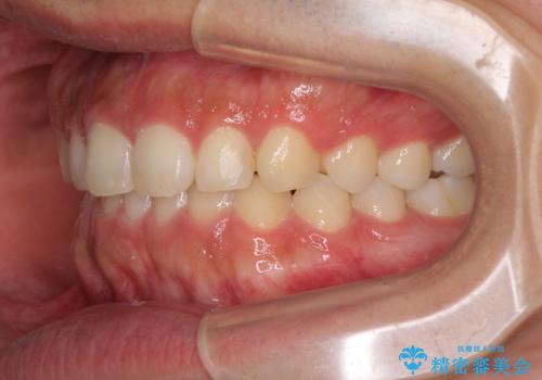
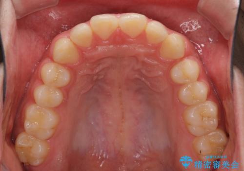
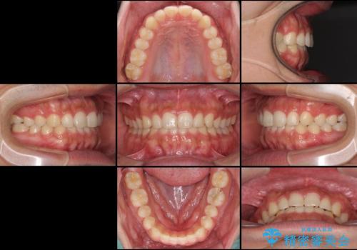
咬合力で上の前歯が前方に押し出されるようにして隙間ができていましたが、矯正治療により全て閉じることができました。
深い咬み合わせも多少改善され、隙間も閉じたことで、前方に出ていた前歯が引っ込んだため、口も閉じやすくなったとのことでした。
マウスピース矯正の注意事項(リスク・副作用など)
- 口腔内・歯並びの状態によっては対応できない場合があります
- マウスピース型矯正装置の長時間装着(1日20時間以上)が必須です
- 治療計画通りに進めるためには、患者様の意志が重要になります
- 矯正治療後の保定が不十分だと後戻り(元の位置に戻ろうとする動き)をします
- 薬機法対象外の矯正歯科装置のため医薬品副作用被害救済制度の対象外となる場合があります
- 自費診療(保険適用外)となります
当サイトの内容、テキスト、画像等の無断転載、複製、複写、盗用を固く禁じます。


























