症例詳細
Case detail
前歯のすきま 右上の小臼歯の垂直的骨吸収を抜歯で解決
治療症例の内容
- 診療科目
- 担当医
- 井上季実子(ドクタープロフィール)
- 患者様
- 30代女性
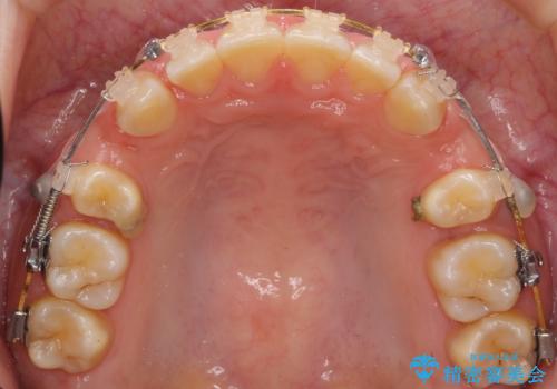
- 矯正装置
- 審美装置
- 治療期間
- 3年11ヶ月
- 治療回数
- 10-30回
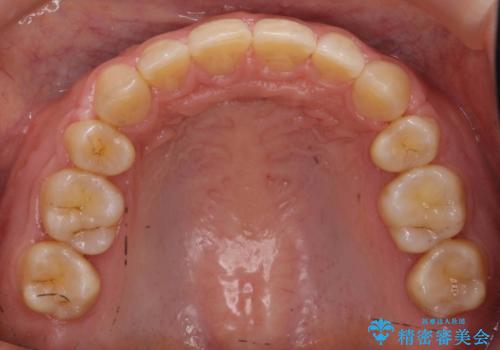
- 治療計画
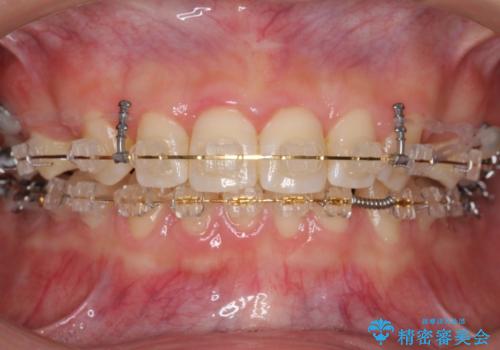
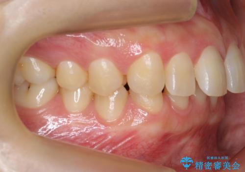
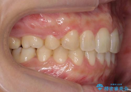
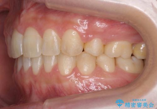
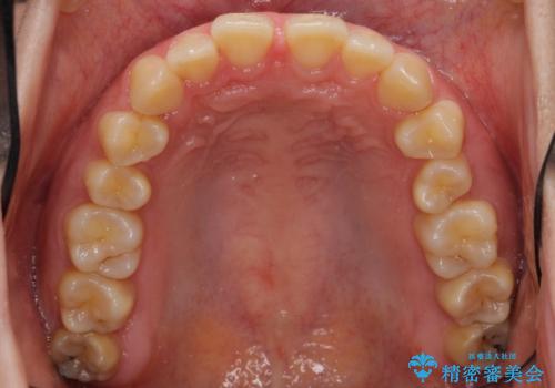
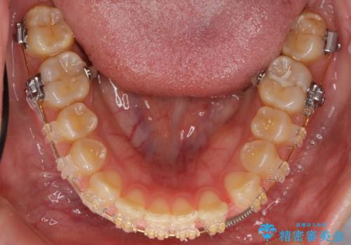
- 前歯のすきまを気にして来院。
奥歯が1歯対1歯で、過蓋咬合を呈していました。
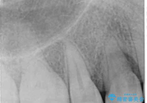
レントゲンで、右上4番の近心の垂直的骨欠損があり、抜歯を行うこととしました。
それがなければ上顎歯列の遠心移動をすることで、非抜歯でマウスピース矯正でも可能であったと思います。
垂直的骨欠損は咬み合わせから起こったものと推察されました。
short faceであり、結果上顎の臼歯を近心に大きくロスさせることになったたため、非常に長く治療期間はかかりました。
- 費用(概算)
- 90万円(通院費、リテーナー代込み)費用は治療当時の料金となります
治療について
右上4の垂直性骨欠損については再生療法を行う選択肢もありました。
しかし、過蓋咬合であり、咬頭対咬頭の咬合では根本的な解決は見込めないことから、矯正治療を希望されていたこともあり、相談の上抜歯しました。
すぐに欠損するわけではないですが、最初の噛み合わせのまま4番が欠損をしたことを考えると、ブリッジやインプラントでも咬合により負担は大きくなってしまうことが考えられます。
ワイヤー矯正の注意事項(リスク・副作用など)
- 治療中は違和感や痛みが起こることがあります
- 症状により、抜歯が必要な場合があります
- 治療中は歯磨きがしにくくなるため、虫歯や歯周病になりやすくなります
- 矯正治療後の保定が不十分だと後戻り(元の位置に戻ろうとする動き)をします
- 自費診療(保険適用外)となります
当サイトの内容、テキスト、画像等の無断転載、複製、複写、盗用を固く禁じます。






















