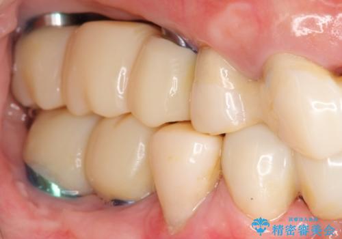
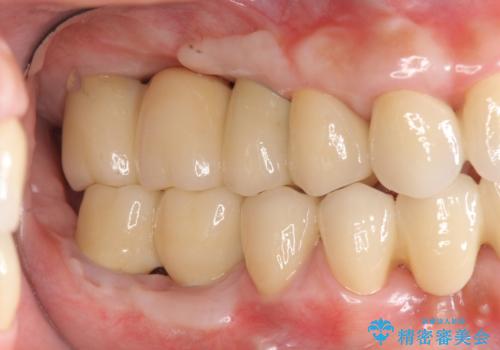
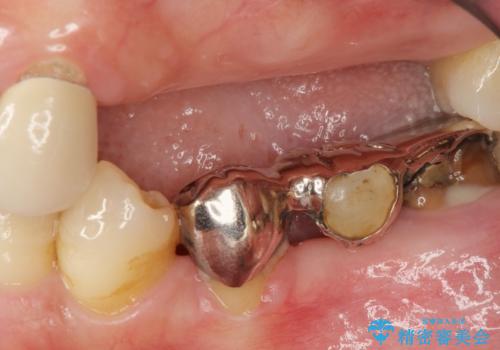
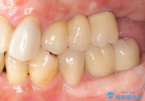
症例詳細
Case detail
歯周病 全顎治療
治療症例の内容
- 患者様
- 40代女性
- 治療期間
- 3年
- 治療回数
- 30回以上
- 治療計画
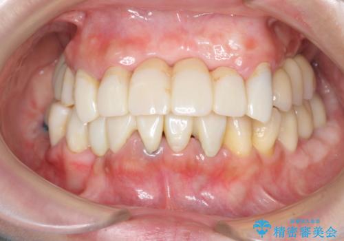
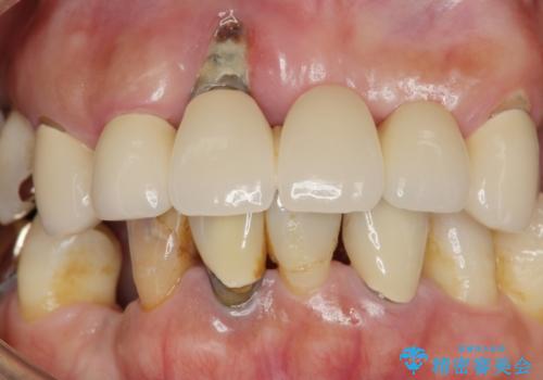
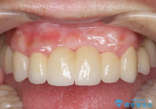
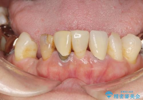
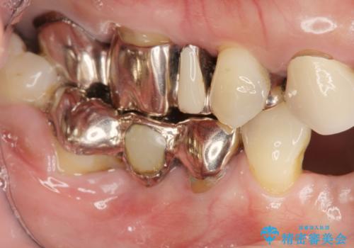
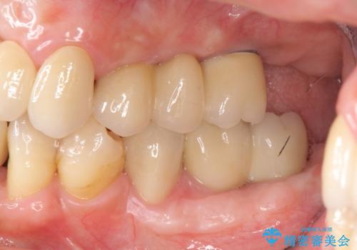
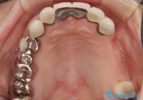
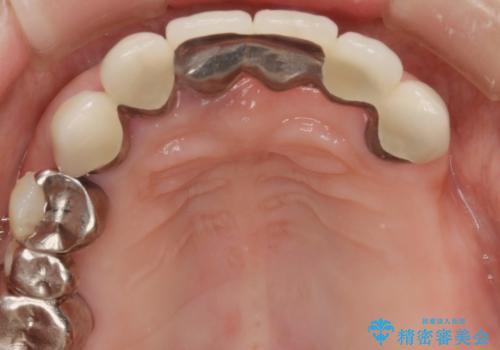
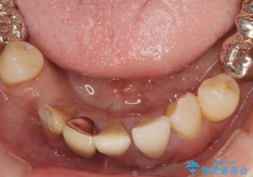
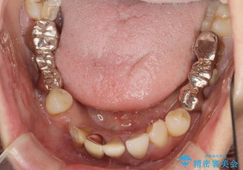
- 前歯の見た目、入れ歯による噛めないことの改善を求めて来院されました。
検査により全顎的な歯周病治療、欠損のインプラント補綴、根管治療が必要な状態であることをお伝えし、治療を計画します。
- 費用(概算)
- 400万円費用は治療当時の料金となります
歯周病全顎治療について
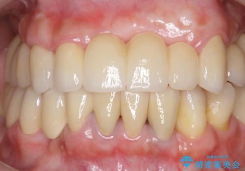
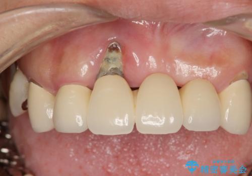
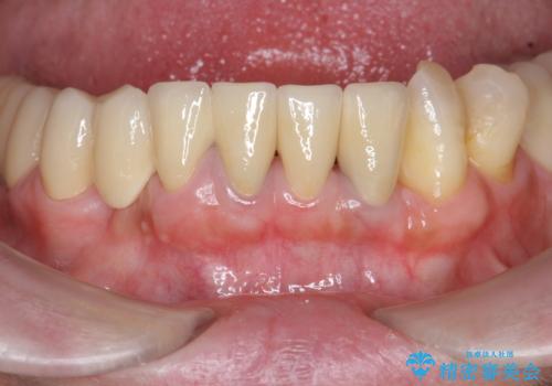
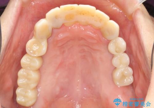
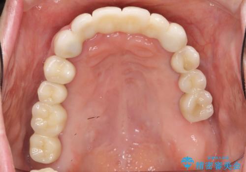
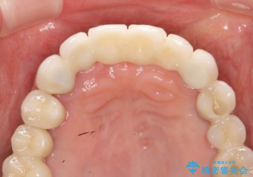
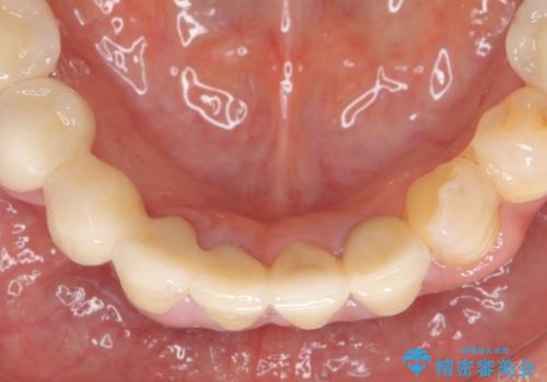
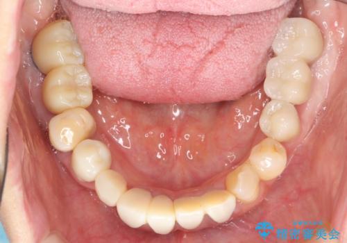
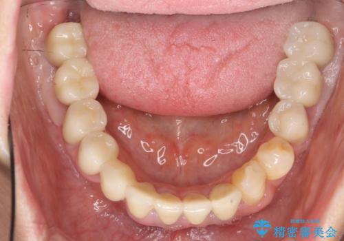
全体的な歯周病が認められる場合、歯を失った一部のみの治療となることはほぼありません。
失ってしまった機能を回復し、今後歯を失わないよう残せる歯に歯周病治療を行い、安定した咬合を確立することで長期的に問題なく噛めるような口腔内環境を達成できるようになると考えます。
セラミック治療の注意事項(リスク・副作用など)
- 天然歯を削ります
- 硬い素材は天然歯を傷つけてしまう場合があります
- かみ合わせや歯ぎしりが強すぎる方はセラミックが割れてしまう可能性があります
- 自費診療(保険適用外治療)となります
歯周病治療の注意事項(リスク・副作用など)
- 外科手術のため、術後に痛みや腫れ、違和感を伴います
- 歯周組織再生治療は患者様の状態によって術後の経過が異なります(見た目が改善しない場合もあります)
- 歯周組織再生治療は自費診療(保険適用外)となります
インプラント治療の注意事項(リスク・副作用など)
- 外科手術のため、術後に痛みや腫れ、違和感を伴います
- メンテナンスを怠ったり喫煙により、お口の中に大きな悪影響を及ぼすインプラント周囲炎等にかかる可能性があります
- 糖尿病、肝硬変、心臓病等の場合、インプラント治療ができない可能性があります
- 高血圧、貧血・不整脈等の場合、インプラント治療後に治癒不全を招く可能性があります
- 自費診療(保険適用外治療)となります
当サイトの内容、テキスト、画像等の無断転載、複製、複写、盗用を固く禁じます。




























