症例詳細
Case detail
矯正を併用した前歯のセラミックブリッジ治療
治療症例の内容
- 患者様
- 50代女性
- 治療期間
- 1年2ヶ月
- 治療回数
- 2-5回
- 治療計画
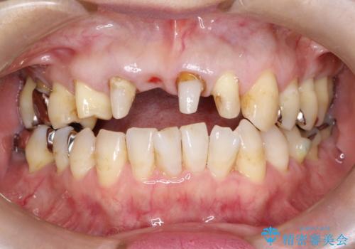
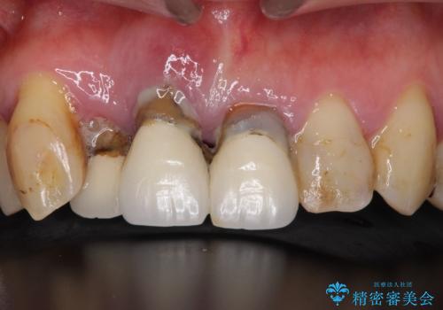
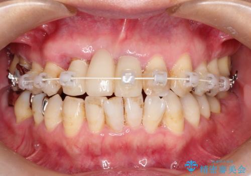
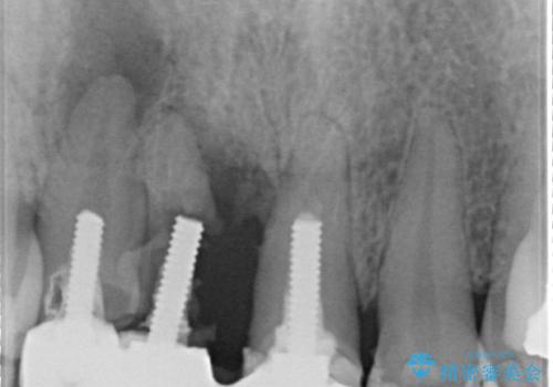
- 上顎前歯をきれいにしたいとのことで来院されました。
レントゲンを撮影すると保存が難しい歯がありました。
またがたつきの度合いから歯を1本抜歯して矯正治療を行いセラミックブリッジを装着することで、審美的・機能的改善を行う計画としました。
- 費用(概算)
- 約110万円費用は治療当時の料金となります
治療について
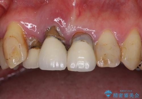
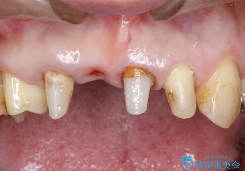
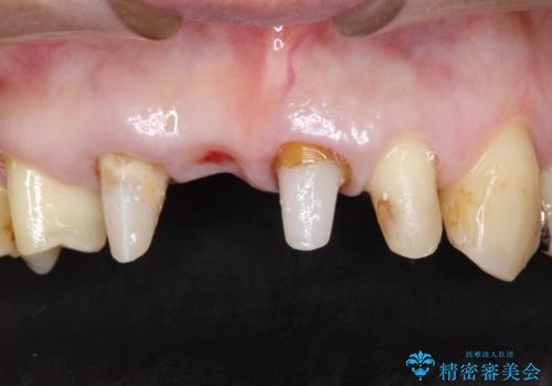
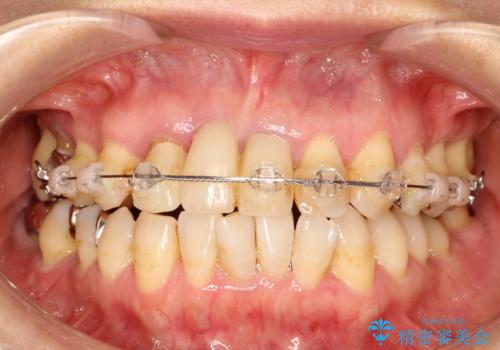
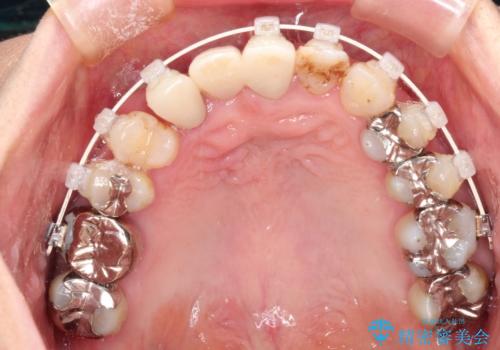
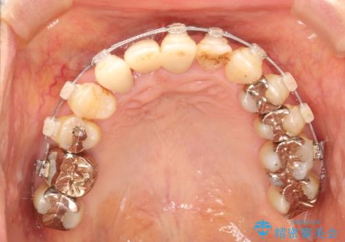
治療の順序は
①保存不可の歯の抜歯・根管治療
②矯正治療
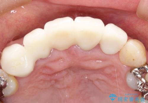
③セラミックの装着
という流れで行いました。
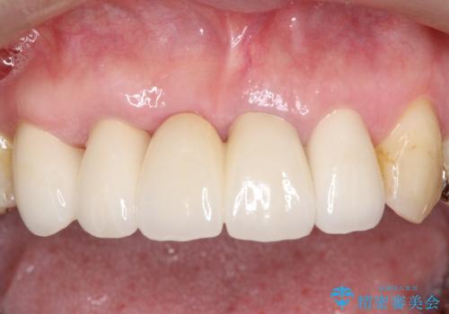
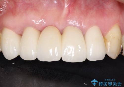
1年程度の治療期間が必要となりましたが、仕上がりには患者様に満足していただけました。
セラミック治療の注意事項(リスク・副作用など)
- 天然歯を削ります
- 硬い素材は天然歯を傷つけてしまう場合があります
- かみ合わせや歯ぎしりが強すぎる方はセラミックが割れてしまう可能性があります
- 自費診療(保険適用外治療)となります
ワイヤー矯正の注意事項(リスク・副作用など)
- 治療中は違和感や痛みが起こることがあります
- 症状により、抜歯が必要な場合があります
- 治療中は歯磨きがしにくくなるため、虫歯や歯周病になりやすくなります
- 矯正治療後の保定が不十分だと後戻り(元の位置に戻ろうとする動き)をします
- 自費診療(保険適用外)となります
根管治療の注意事項(リスク・副作用など)
- 根管治療により類似の全ての症例の問題が解決するわけではなく、症例はあくまでも一例です
- 根管治療により痛みや腫れがひかない事や、術後に痛みや腫れが生じる事、治療によるファイル破折やパーフォレーションなどの偶発症、術後の歯根破折を生じる可能性もあります
- 自費診療(保険適用外)となります
当サイトの内容、テキスト、画像等の無断転載、複製、複写、盗用を固く禁じます。





















