症例詳細
Case detail
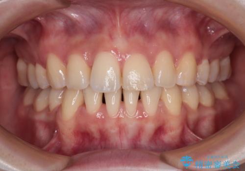
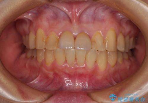
前歯のデコボコをワイヤー矯正で速やかに改善
治療症例の内容
- 担当医
- 藤巻太一朗(ドクタープロフィール)
- 患者様
- 20代男性
- 矯正装置
- メタルブラケット
- 治療期間
- 9ヶ月
- 治療計画
- 前歯のデコボコを気にして来院された患者様です。
安価に速やかに治療をしたいとのことで、メタルワイヤーにより矯正治療を行うこととしました。
- 費用(概算)
- 治療費の目安: 70万円費用は治療当時の料金となります
治療について
1年くらいの予定でしたが、わずか8ヶ月強で終えることができました。
ご希望の通り、安価に速やかに歯並びを改善することができ、患者様には大変満足していただきました。
ワイヤー矯正の注意事項(リスク・副作用など)
- 治療中は違和感や痛みが起こることがあります
- 症状により、抜歯が必要な場合があります
- 治療中は歯磨きがしにくくなるため、虫歯や歯周病になりやすくなります
- 矯正治療後の保定が不十分だと後戻り(元の位置に戻ろうとする動き)をします
- 自費診療(保険適用外)となります
当サイトの内容、テキスト、画像等の無断転載、複製、複写、盗用を固く禁じます。




























