症例詳細
Case detail
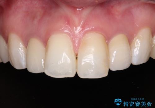
30代女性 歯が折れた ブリッジによる審美治療
治療症例の内容
- 担当医
- 藤巻太一朗(ドクタープロフィール)
- 患者様
- 30代女性
- 治療期間
- 1年8ヶ月
- 治療回数
- 2-5回
- 治療計画
- 左上の奥歯が痛み、たまに出血があるとのことで来院された患者様です。
他にも前歯のかぶせものの色合いや。歯がしみる箇所があるとのことで、全顎的に治療を行っていくことになりました。
(患者様の希望により、矯正歯科治療は実施しない)
左上小臼歯 抜歯後にセラミックブリッジにより治療
上顎前歯 メタルボンドクラウンをオールセラミッククラウンにて治療
そのほかの部分 セラミックインレーやオールセラミッククラウンにて治療
- 費用(概算)
- 治療費の目安: 25万円費用は治療当時の料金となります
治療を終えて
抜歯した左上小臼歯部は、ブリッジにするのかインプラントにするのか悩んでいらっしゃいましたが、以前他院で処置をした左下のインプラントが気に入っていなかったことや、抜歯した前後の歯に大きい虫歯があったことから、前後の歯の治療もかねてブリッジによる治療を選択しました。
かみ合わせの力が非常に強いため、就寝時にマウスピースを装着していただき、歯根やセラミックを守っていただくようにお願いしています。
痛みから解放され、かみ合わせも安定し、審美的にも回復し、患者様には大変満足していただけました。
リスクについて
セラミックは破折などにより修復や再製作が必要となることがあります。
セラミック治療の注意事項(リスク・副作用など)
- 天然歯を削ります
- 硬い素材は天然歯を傷つけてしまう場合があります
- かみ合わせや歯ぎしりが強すぎる方はセラミックが割れてしまう可能性があります
- 自費診療(保険適用外治療)となります
当サイトの内容、テキスト、画像等の無断転載、複製、複写、盗用を固く禁じます。






