症例詳細
Case detail
矯正治療を併用した前歯ブリッジの再作製
治療症例の内容
- 診療科目
- 治療カテゴリ
- 担当医
- 大元洋佑(ドクタープロフィール)
- 患者様
- 40代男性
- 治療期間
- 1年4ヶ月
- 治療回数
- 2-5回
- 治療計画
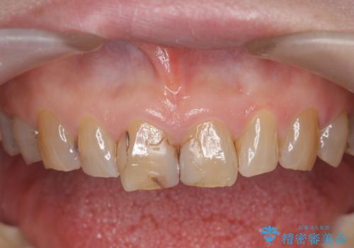
- 以前に治療した前歯のブリッジのやりかえを希望され来院されました。
ブリッジの再作製を行う前に、矯正治療を行うことでブリッジの欠損部を短くし後方の倒れている小臼歯を起こすことでかみ合わせの安定も同時に図ります。
- 費用(概算)
- 37万円(仮歯・ファイバーコア・ジルコニアクラウン×3 矯正治療費は別途)費用は治療当時の料金となります
矯正治療を併用したセラミック治療について
クラウンやブリッジの作製などの補綴治療を行う際に、矯正治療を併用した方が歯並びが改善し審美的になるだけでなく清掃性が向上することで歯並び全体のリスクが下がる場合があります。
このような補綴治療と矯正治療を一つの医院で同時に行えるのは当法人の大きな強みです。
矯正治療:横浜桜木町歯科副院長 井上季実子先生
セラミック治療の注意事項(リスク・副作用など)
- 天然歯を削ります
- 硬い素材は天然歯を傷つけてしまう場合があります
- かみ合わせや歯ぎしりが強すぎる方はセラミックが割れてしまう可能性があります
- 自費診療(保険適用外治療)となります
当サイトの内容、テキスト、画像等の無断転載、複製、複写、盗用を固く禁じます。











