症例詳細
Case detail
目立つ銀歯を白くしたい
治療症例の内容
- 診療科目
- 治療カテゴリ
- 担当医
- 大元洋佑(ドクタープロフィール)
- 患者様
- 60代女性
- 治療期間
- 1ヶ月
- 治療回数
- 2-5回
- 治療計画
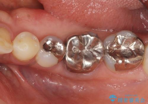
- 「笑った時に目立つ銀歯をきれいにしたい、皮膚科で金属アレルギーの可能性を指摘されたので金属を外したい。」
、とセラミック治療を希望され来院されました。
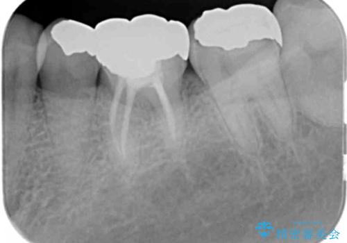
残っている歯を削らないよう、丁寧に除去したのち精密なジルコニアセラミッククラウンで再咬合構成を行っていきます。
- 費用(概算)
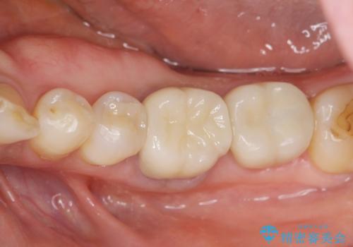
- 31.9万円(仮歯・ジルコニアクラウン×2 セラミックインレー×1)費用は治療当時の料金となります
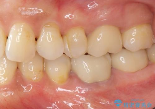
治療について
見た目の改善が達成できたとともに、皮膚のかゆみも明らかに減少したと喜んでいただくことができました。
セラミック治療の注意事項(リスク・副作用など)
- 天然歯を削ります
- 硬い素材は天然歯を傷つけてしまう場合があります
- かみ合わせや歯ぎしりが強すぎる方はセラミックが割れてしまう可能性があります
- 自費診療(保険適用外治療)となります
当サイトの内容、テキスト、画像等の無断転載、複製、複写、盗用を固く禁じます。








