症例詳細
Case detail
インビザライン矯正とセラミッククラウンによるコンビネーション治療
治療症例の内容
- 患者様
- 30代女性
- 矯正装置
- インビザライン
- 治療期間
- 1年6ヶ月
- 治療回数
- 10-30回
- 治療計画
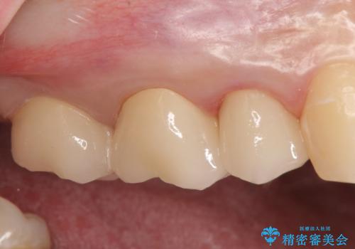
- 上の前歯をきれいにしたいとのことで来院されました。
当初は患者様としては矯正治療は考えておらず、セラミックだけの治療を希望をしておりました。
セラミックだけでの治療であると、抜歯や健康な歯を削る必要があることと、矯正をすることでより審美的・機能的により良いセラミックを装着できることをご説明しました。
下の歯のガタつきも気になっていたため、インビザラインによる全体矯正後にセラミック治療をすることとなりました。
- 費用(概算)
- 約130万円費用は治療当時の料金となります
治療について
セラミックのみで歯並びをか変えることには限界があります。
矯正を併用することで治療期間は長くなりますが、より質の高い仕上がりにすることができました。またご自身の健康な歯を削らずにすむことができました。
また小さなお子様がいらっしゃる患者様だったので、通院頻度が少ないインビザライン矯正は負担が少なく済んだと満足しいていただけました。
セラミック治療の注意事項(リスク・副作用など)
- 天然歯を削ります
- 硬い素材は天然歯を傷つけてしまう場合があります
- かみ合わせや歯ぎしりが強すぎる方はセラミックが割れてしまう可能性があります
- 自費診療(保険適用外治療)となります
マウスピース矯正の注意事項(リスク・副作用など)
- 口腔内・歯並びの状態によっては対応できない場合があります
- マウスピース型矯正装置の長時間装着(1日20時間以上)が必須です
- 治療計画通りに進めるためには、患者様の意志が重要になります
- 矯正治療後の保定が不十分だと後戻り(元の位置に戻ろうとする動き)をします
- 薬機法対象外の矯正歯科装置のため医薬品副作用被害救済制度の対象外となる場合があります
- 自費診療(保険適用外)となります
当サイトの内容、テキスト、画像等の無断転載、複製、複写、盗用を固く禁じます。
























