症例詳細
Case detail
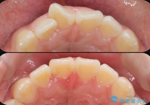
歯のガタガタをマウスピース矯正で治療
治療症例の内容
- 診療科目
- 治療カテゴリ
- 担当医
- 大元洋佑(ドクタープロフィール)
- 患者様
- 20代女性
- 治療期間
- 1年
- 治療回数
- 10-30回
- 治療計画
- 前歯のガタつきの矯正治療を希望され来院されました。
すでに虫歯で処置がなされている歯が多いこと、歯の磨きやすさに利点があること、装置が見えづらくできることからワイヤー矯正ではなくマウスピース矯正(インビザライン )を用いて歯並びを矯正する計画としました。
- 費用(概算)
- 80万円費用は治療当時の料金となります
矯正治療中のプラークコントロールについて
もともと虫歯の治療歯が多く歯並びの改善を行い歯を磨きやすくするメリットは大きくありますが、矯正治療中により虫歯が増えてしまう可能性が高いような口腔環境でした。
マウスピース矯正であれば、歯ブラシを行う際にマウスピースをはずして磨くことができるためワイヤー矯正に比べてプラークのコントロールが行いやすいというメリットがあります。
矯正治療を行うにあたり、虫歯を増やさないような治療計画を立てることが重要となります。
マウスピース矯正の注意事項(リスク・副作用など)
- 口腔内・歯並びの状態によっては対応できない場合があります
- マウスピース型矯正装置の長時間装着(1日20時間以上)が必須です
- 治療計画通りに進めるためには、患者様の意志が重要になります
- 矯正治療後の保定が不十分だと後戻り(元の位置に戻ろうとする動き)をします
- 薬機法対象外の矯正歯科装置のため医薬品副作用被害救済制度の対象外となる場合があります
- 自費診療(保険適用外)となります
当サイトの内容、テキスト、画像等の無断転載、複製、複写、盗用を固く禁じます。


















