症例詳細
Case detail
ワイヤー矯正とマウスピース矯正を併用して、短期間で歯列矯正
治療症例の内容
- 診療科目
- 担当医
- 藤巻太一朗(ドクタープロフィール)
- 患者様
- 20代女性
- 矯正装置
- 審美装置・マウスピース
- 治療期間
- 8ヶ月
- 治療回数
- 10-30回
- 治療計画
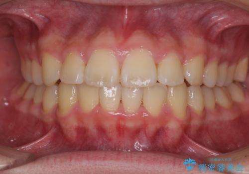
- 前歯のでこぼこを気にして来院された患者様です。
下の歯列不正はそれほど気にならなかったため、上顎をワイヤー矯正で整え、最後に上下をマウスピース矯正で仕上げることとしました。
上顎だけワイヤーを装着すると、出っ歯になってしまうため、患者様自身にゴムをかけていただくことで、口元が突出しないように計画しました。
- 費用(概算)
- 治療費の目安: 45万円費用は治療当時の料金となります
治療について
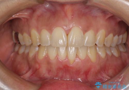
インビザラインを使い続ける自信がないとのことで、ワイヤー矯正を選択されました。
気になっていた前歯が速やかに整い、患者様には大変満足していただきました。
ワイヤー矯正の注意事項(リスク・副作用など)
- 治療中は違和感や痛みが起こることがあります
- 症状により、抜歯が必要な場合があります
- 治療中は歯磨きがしにくくなるため、虫歯や歯周病になりやすくなります
- 矯正治療後の保定が不十分だと後戻り(元の位置に戻ろうとする動き)をします
- 自費診療(保険適用外)となります
マウスピース矯正の注意事項(リスク・副作用など)
- 口腔内・歯並びの状態によっては対応できない場合があります
- マウスピース型矯正装置の長時間装着(1日20時間以上)が必須です
- 治療計画通りに進めるためには、患者様の意志が重要になります
- 矯正治療後の保定が不十分だと後戻り(元の位置に戻ろうとする動き)をします
- 薬機法対象外の矯正歯科装置のため医薬品副作用被害救済制度の対象外となる場合があります
- 自費診療(保険適用外)となります
当サイトの内容、テキスト、画像等の無断転載、複製、複写、盗用を固く禁じます。






















