症例詳細
Case detail
[骨縁に達する深い虫歯] 歯の挺出・歯周外科を応用し抜かずに残す治療②
- 患者様
- 50代男性
- 治療期間
- 8ヶ月
- 治療回数
- 5-10回
- 治療計画
- 定期検診を希望され来院されました。
X線写真を撮影すると、右上親知らずの前に自覚症状のない深い虫歯が認められました。
抜歯も検討されうるような骨縁に達する深い虫歯ですが、抜かずに歯を保存できるような下記治療計画を立てます。
①虫歯除去・根管治療 ②歯の挺出(装置を用いて引っ張り出す)③歯周外科手術 ④セラミッククラウンの作製
①②の工程
→https://seimitsushinbi.jp/case/24524/
- 費用(概算)
- 35万円(仮歯・ファイバーコア・ジルコニアクラウン・歯の挺出・歯周外科)費用は治療当時の料金となります
深い虫歯・歯周外科治療について
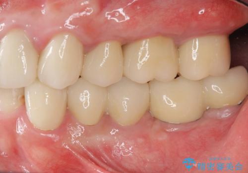
術前抜歯も検討されうるほどの深い虫歯が存在していましたが、歯の挺出・歯周外科を行うことで安定した歯周組織の状態・虫歯を取り切ることができました。
非常に安定した状態になっているので長期的な予後が期待できます。
治療期間は少し長くなりましたが抜歯を回避することができ大変喜んでいただきました。
外科処置の注意事項(リスク・副作用など)
- 外科手術のため、術後に出血、痛みや腫れ、違和感を伴います
- 口腔内の状態によっては適応できないことがあります
当サイトの内容、テキスト、画像等の無断転載、複製、複写、盗用を固く禁じます。

![[骨縁に達する深い虫歯] 歯の挺出・歯周外科を応用し抜かずに残す治療②の治療前](https://seimitsushinbi.jp/wp/wp-content/uploads/2018/10/14b0b2f75b584ed6b379ba722b389210-500x350.jpg)
![[骨縁に達する深い虫歯] 歯の挺出・歯周外科を応用し抜かずに残す治療②の治療中](https://seimitsushinbi.jp/wp/wp-content/uploads/2018/10/155538f44e5e7f91cbe19ee33aea3bd3-500x350.jpg)
![[骨縁に達する深い虫歯] 歯の挺出・歯周外科を応用し抜かずに残す治療②の治療後](https://seimitsushinbi.jp/wp/wp-content/uploads/2018/10/e89d88296f05bb387c8f84bbc67fc604-500x350.jpg)
![[骨縁に達する深い虫歯] 歯の挺出・歯周外科を応用し抜かずに残す治療②の治療前](https://seimitsushinbi.jp/wp/wp-content/uploads/2018/10/CI2-10-500x350.jpg)
![[骨縁に達する深い虫歯] 歯の挺出・歯周外科を応用し抜かずに残す治療②の治療中](https://seimitsushinbi.jp/wp/wp-content/uploads/2018/10/CI15-500x350.jpg)
![[骨縁に達する深い虫歯] 歯の挺出・歯周外科を応用し抜かずに残す治療②の治療後](https://seimitsushinbi.jp/wp/wp-content/uploads/2018/10/CI20-500x350.jpg)
![[骨縁に達する深い虫歯] 歯の挺出・歯周外科を応用し抜かずに残す治療②の治療前](https://seimitsushinbi.jp/wp/wp-content/uploads/2018/10/DSC08457-500x350.jpg)
![[骨縁に達する深い虫歯] 歯の挺出・歯周外科を応用し抜かずに残す治療②の治療中](https://seimitsushinbi.jp/wp/wp-content/uploads/2018/10/f5f7488640aeb2357aca96a90711237d-500x350.jpg)
![[骨縁に達する深い虫歯] 歯の挺出・歯周外科を応用し抜かずに残す治療②の治療後](https://seimitsushinbi.jp/wp/wp-content/uploads/2018/10/08db99e32c45b93ef6e5219f9ea26a32-500x350.jpg)
![[骨縁に達する深い虫歯] 歯の挺出・歯周外科を応用し抜かずに残す治療②の治療前](https://seimitsushinbi.jp/wp/wp-content/uploads/2018/10/CI7-3-500x350.jpg)
![[骨縁に達する深い虫歯] 歯の挺出・歯周外科を応用し抜かずに残す治療②の治療中](https://seimitsushinbi.jp/wp/wp-content/uploads/2018/10/886ede303e93a1311fd7d96a44266110-500x350.jpg)
![[骨縁に達する深い虫歯] 歯の挺出・歯周外科を応用し抜かずに残す治療②の治療後](https://seimitsushinbi.jp/wp/wp-content/uploads/2018/10/19dd4e9bbd768dbc9d50e3bb29266f5b-500x350.jpg)
![[骨縁に達する深い虫歯] 歯の挺出・歯周外科を応用し抜かずに残す治療②の治療前](https://seimitsushinbi.jp/wp/wp-content/uploads/2018/10/8054f88060d43b507b8478c33d961b98-500x350.jpg)
![[骨縁に達する深い虫歯] 歯の挺出・歯周外科を応用し抜かずに残す治療②の治療中](https://seimitsushinbi.jp/wp/wp-content/uploads/2018/10/85d61eaaa7e6dff1d4eacd42119a3068-500x350.jpg)
![[骨縁に達する深い虫歯] 歯の挺出・歯周外科を応用し抜かずに残す治療②の治療後](https://seimitsushinbi.jp/wp/wp-content/uploads/2018/10/493bc528e6f1fc69dfa3aa0b813cb2c5-500x350.jpg)
![[骨縁に達する深い虫歯] 歯の挺出・歯周外科を応用し抜かずに残す治療②の治療前](https://seimitsushinbi.jp/wp/wp-content/uploads/2018/10/171b61612ceea7a726d0f4f664405be5-500x350.jpg)
![[骨縁に達する深い虫歯] 歯の挺出・歯周外科を応用し抜かずに残す治療②の治療中](https://seimitsushinbi.jp/wp/wp-content/uploads/2018/10/03dfe4c524f58a2c39bc6f6a719f086d-500x350.jpg)
![[骨縁に達する深い虫歯] 歯の挺出・歯周外科を応用し抜かずに残す治療②の治療前](https://seimitsushinbi.jp/wp/wp-content/uploads/2018/10/020a87067752eb761e05f3c5eb9a3319-500x350.jpg)
![[骨縁に達する深い虫歯] 歯の挺出・歯周外科を応用し抜かずに残す治療②の治療前](https://seimitsushinbi.jp/wp/wp-content/uploads/2018/10/cd5f728517e7115d0d51888242a78dad-500x350.jpg)
![[骨縁に達する深い虫歯] 歯の挺出・歯周外科を応用し抜かずに残す治療②の治療前](https://seimitsushinbi.jp/wp/wp-content/uploads/2018/10/526e34c8bd5e252a859f2eef9ed5f109-500x350.jpg)
![[骨縁に達する深い虫歯] 歯の挺出・歯周外科を応用し抜かずに残す治療②の治療前](https://seimitsushinbi.jp/wp/wp-content/uploads/2018/10/a15ee75d6e834f3142f5c2f54edfa62d-500x350.jpg)