症例詳細
Case detail
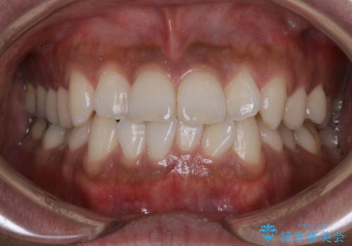
骨格的な受け口に対するカモフラージュ治療の一例 最新の骨格拡大装置を利用
治療症例の内容
- 診療科目
- 担当医
- 患者様
- 20代女性
- 矯正装置
- プラスチックブラケット
- 治療期間
- 2年6ヶ月
- 治療回数
- 10-30回
- 治療計画
- 骨格的な受け口であるため、外科矯正の提案をしましたが、外科処置は現実的でないとのことで歯列矯正単独の処置を引き受けました。
 
 マイクロインプラントをアンカーとした右下第1小臼歯単独抜歯矯正を計画。
- 費用(概算)
- 約90万円(旧価格)費用は治療当時の料金となります
カモフラージュ治療について
歯列矯正は美容整形ではないため、骨格的な問題を改善することは基本的にできません。
本症例では、上顎の狭窄を特殊な装置(MSE)にて骨格的に改善することに成功しましたが、上下の前後的な問題に関しては解決できません。
従って、ある程度歯の軸の角度などに無理を強いて正常に"見える"ように治療を進めることとなります。これがカモフラージュたる所以です。
拡大装置や抜歯を伴った大規模な矯正治療となりましたが、目標の3年よりも早く見た目を改善でき、患者さんには大変満足していただけました。
ワイヤー矯正の注意事項(リスク・副作用など)
- 治療中は違和感や痛みが起こることがあります
- 症状により、抜歯が必要な場合があります
- 治療中は歯磨きがしにくくなるため、虫歯や歯周病になりやすくなります
- 矯正治療後の保定が不十分だと後戻り(元の位置に戻ろうとする動き)をします
- 自費診療(保険適用外)となります
当サイトの内容、テキスト、画像等の無断転載、複製、複写、盗用を固く禁じます。








 
                       
                                                          




























 
                   
                   
                  