症例詳細
Case detail
前歯のでこぼこをスッキリと 目立たない装置による抜歯矯正
治療症例の内容
- 患者様
- 30代男性
- 治療期間
- 2年2ヶ月
- 治療回数
- 10-30回
- 治療計画
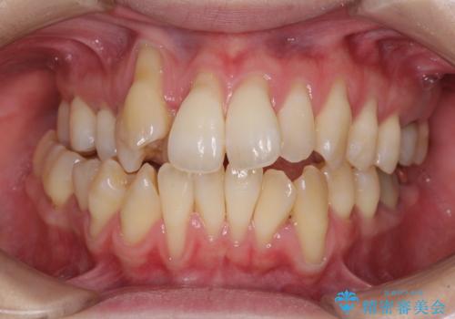
- 前歯のでこぼこを気にして来院された患者様です。
でこぼこの解消とともに、やや閉じにくそうな口元を引っ込めることを目的とし、上下左右の第一小臼歯4歯を抜歯をしてワイヤー矯正により治療することとしました。
- 費用(概算)
- 治療費の目安: 90万円費用は治療当時の料金となります
治療について
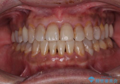
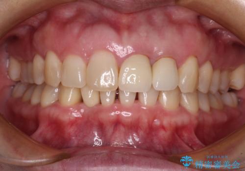
治療開始直後は、あっという間に歯列が整い、すぐに終わるのではないかと思われましたが、治療の後半においては抜歯したスペースがなかなか閉じきらず、当初予定していた2年以上の期間を要することとなりました。
周りの方からも整った歯列を羨ましいとおっしゃっていただけるようになり、患者様には大変満足していただきました。
リスクについて
矯正治療は後戻りのリスクがあります。
ワイヤー矯正の注意事項(リスク・副作用など)
- 治療中は違和感や痛みが起こることがあります
- 症状により、抜歯が必要な場合があります
- 治療中は歯磨きがしにくくなるため、虫歯や歯周病になりやすくなります
- 矯正治療後の保定が不十分だと後戻り(元の位置に戻ろうとする動き)をします
- 自費診療(保険適用外)となります
当サイトの内容、テキスト、画像等の無断転載、複製、複写、盗用を固く禁じます。






















