症例詳細
Case detail
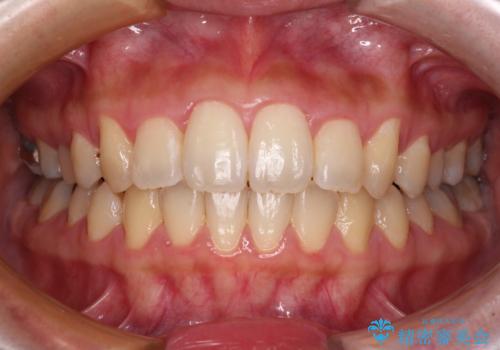
歯茎の中にまで及んだ大きなむし歯 抜歯をせずにセラミッククラウンに
治療症例の内容
- 診療科目
- 治療カテゴリ
- 担当医
- 藤巻太一朗(ドクタープロフィール)
- 患者様
- 30代女性
- 治療期間
- 5ヶ月
- 治療回数
- 2-5回
- 治療計画
- 大きなむし歯ができていることを気にして来院された患者様です。
むし歯がとても大きく、歯茎に歯の一部が埋もれてしまっている状態でした。
根管治療、歯の挺出(歯を引っ張り出す部分矯正)、歯周外科処置などを行った後、オールセラミッククラウンにて補綴することとしました。
- 費用(概算)
- 治療費の目安: 40万円費用は治療当時の料金となります
治療について
部分矯正中は仮歯と装置の間にものが挟まったり、歯周外科処置後には痛みが続いたりと、治療期間中は色々と不便な点もありました。しかしながら、抜歯することなく、ご自分の歯を残していくことができるので、患者様には辛抱強く治療にお付き合いいただきました。
当初はむし歯で崩れた歯の中に汚れが溜まり、大変不快な思いをされていましたが、セラミッククラウン装着後は清掃性が著しく改善し、患者様には大変満足していただきました。
リスクについて
セラミックは破折などにより修復や再製作が必要となることがあります。
根管治療後は一定の確率で症状が再発する可能性があります。
セラミック治療の注意事項(リスク・副作用など)
- 天然歯を削ります
- 硬い素材は天然歯を傷つけてしまう場合があります
- かみ合わせや歯ぎしりが強すぎる方はセラミックが割れてしまう可能性があります
- 自費診療(保険適用外治療)となります
当サイトの内容、テキスト、画像等の無断転載、複製、複写、盗用を固く禁じます。














