症例詳細
Case detail
小矯正を併用し歯の神経を残す歯周病治療・下顎前歯メタルボンドブリッジの作製①
治療症例の内容
- 担当医
- 大元洋佑(ドクタープロフィール)
- 患者様
- 50代男性
- 治療期間
- 1年
- 治療回数
- 30回以上
- 治療計画
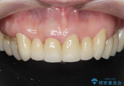
- 全顎的歯周治療を希望され来院されました。
 下顎の前歯には局所的に保存不可能な垂直性の骨欠損が見られ、抜歯し補綴治療が必要な状態です。
 
 神経を残し予知性の高いブリッジを入れるために
 ・神経の保存をするための小矯正
 ・歯周ポケットの除去
 ・精密なメタルボンドブリッジ作製
 を計画します。
 
 最終的なメタルボンドブリッジの作製→https://seimitsushinbi.jp/case/19505/
- 費用(概算)
- 80万円費用は治療当時の料金となります
歯周病治療と補綴について
重度歯周病で歯の先まで骨が溶けてしまった歯は、残すことができません。
予後の悪い歯を抜去したのち、欠損した部位を補う補綴処置が必要となりますが、今回は骨の状態・動揺の状態を鑑みてインプラントや義歯ではなくブリッジ治療を選択しました。
またブリッジの作製にあたり、術前の状態では歯並びにガタガタ(叢生)が見られるため小矯正を併用し神経の保存を行えるような前処置を行いました。
歯周病ついて
歯周病に罹患した歯は、放置するとより周囲の骨が溶け歯周病の状態が悪化します。
セラミック治療の注意事項(リスク・副作用など)
- 天然歯を削ります
- 硬い素材は天然歯を傷つけてしまう場合があります
- かみ合わせや歯ぎしりが強すぎる方はセラミックが割れてしまう可能性があります
- 自費診療(保険適用外治療)となります
歯周病治療の注意事項(リスク・副作用など)
- 外科手術のため、術後に痛みや腫れ、違和感を伴います
- 歯周組織再生治療は患者様の状態によって術後の経過が異なります(見た目が改善しない場合もあります)
- 歯周組織再生治療は自費診療(保険適用外)となります
当サイトの内容、テキスト、画像等の無断転載、複製、複写、盗用を固く禁じます。








 
                       
                                                          















![[ 前歯セラミック治療 ]白く不自然な前歯をきれいにしたい](https://seimitsushinbi.jp/wp/wp-content/uploads/2021/12/e6beb0177fa3816df180668db670061d-500x350.jpg?v=1640157796) 
                  ![[emax セラミッククラウン] リーズナブルな前歯部審美セラミック治療](https://seimitsushinbi.jp/wp/wp-content/uploads/2018/05/26d94b09d356644a4ad9ed67944cb971-500x350.jpg) 
                  ![[根管治療・セラミック補綴]  歯ぐきを押すと痛い](https://seimitsushinbi.jp/wp/wp-content/uploads/2020/06/c31cf8ed072687d4f371af49477f5697-500x350.jpg?v=1591340058) 
                  