症例詳細
Case detail
奥歯が痛い 大きな虫歯治療と根管治療
治療症例の内容
- 診療科目
- 担当医
- 藤巻太一朗(ドクタープロフィール)
- 患者様
- 50代女性
- 治療期間
- 6ヶ月
- 治療回数
- 2-5回
- 治療計画
- 右下奥の咬んだときの痛みと、しみる痛みを感じて来院された患者様です。
銀のクラウンが装着されていた歯は根管治療が必要であり、その奥の歯は大きな詰め物の隙間が虫歯になってしみていました。
根管治療などを行った後に、オールセラミッククラウンにて補綴することとしました。
- 費用(概算)
- 治療費の目安: 35万円費用は治療当時の料金となります
治療について
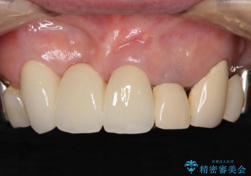
手前の歯は根管治療を終え、奥の歯は虫歯を取り切ったことによって、今まで気になっていた痛みが消え、快適に日常生活を送れるようになりました。
痛みが取れるとともに、気になっていた大きな銀歯も自然なセラミックとなり、患者様には大変満足していただけました。
リスクについて
セラミックは破折などにより修復や再製作が必要となることがあります。
根管治療後は一定の確率で症状が再発する可能性があります。
根管治療の注意事項(リスク・副作用など)
- 根管治療により類似の全ての症例の問題が解決するわけではなく、症例はあくまでも一例です
- 根管治療により痛みや腫れがひかない事や、術後に痛みや腫れが生じる事、治療によるファイル破折やパーフォレーションなどの偶発症、術後の歯根破折を生じる可能性もあります
- 自費診療(保険適用外)となります
当サイトの内容、テキスト、画像等の無断転載、複製、複写、盗用を固く禁じます。







