症例詳細
Case detail
前歯のぐらつき 前歯部審美ブリッジ治療
治療症例の内容
- 診療科目
- 治療カテゴリ
- 担当医
- 大元洋佑(ドクタープロフィール)
- 患者様
- 20代男性
- 治療期間
- 8ヶ月
- 治療回数
- 2-5回
- 治療計画
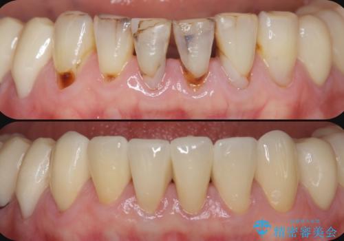
- 前歯がぐらつくことと、歯の長さが異なることによる審美障害の改善を希望され来院されました。
術前のデンタルX線写真より、前歯2本は根管治療がすでに為されており今後保存が可能かどうか、長期的な予後を見込むために最終的なセラミック補綴の前に十分な検討が必要です。
- 費用(概算)
- ¥300,000費用は治療当時の料金となります
歯の評価について
治療前のX 線写真からは、右上前歯の根尖周囲に病変とともに挺出(出てきてしまっている)も認め抜かずに残せるかどうか疑わしい状況でした。
破折(歯が割れているかどうか)を顕微鏡を用いて綿密に精査しないことを確認、根管治療を続けて行ったところ病変の治癒傾向を認めました。
同時に状態が良いように見えた左上前歯は破折が原因による排膿を認め、抜歯を余儀なくされブリッジによる機能・審美改善を行いました。
セラミックを装着する前に歯の状態を正確に評価することで早期に問題が起きにくい長期的な予後を見込める治療が可能となります。
リスクについて
綿密な検査により正確な診断を行うことで、結果の出る処置を行うことができます。中切歯は今後根も短く、ブリッジの支台なので破折等のリスクをお伝えしています。
セラミック治療の注意事項(リスク・副作用など)
- 天然歯を削ります
- 硬い素材は天然歯を傷つけてしまう場合があります
- かみ合わせや歯ぎしりが強すぎる方はセラミックが割れてしまう可能性があります
- 自費診療(保険適用外治療)となります
当サイトの内容、テキスト、画像等の無断転載、複製、複写、盗用を固く禁じます。




















