症例詳細
Case detail
奥歯がたまにしみる MTAによる生活歯髄療法・オールセラミッククラウン
治療症例の内容
- 診療科目
- 治療カテゴリ
- 担当医
- 有澤哲郎(ドクタープロフィール)
- 患者様
- 40代男性
- 治療期間
- 2ヶ月
- 治療回数
- 2-5回
- 治療計画
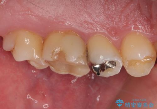
- 「奥歯がたまにしみるときがある」との主訴で来院された患者様です。
検査の結果、虫歯が非常に深く、通常であれば神経をすべて取り除く抜髄処置が必要な状態でした。
神経をすべて取り除いてしまうと歯の寿命が縮まってしまうため、感染している神経の一部を取り除く生活歯髄療法を行っていくことご提案しました。
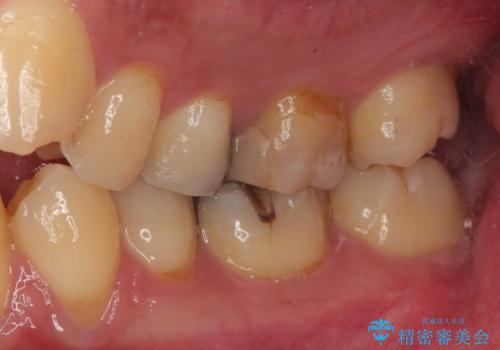
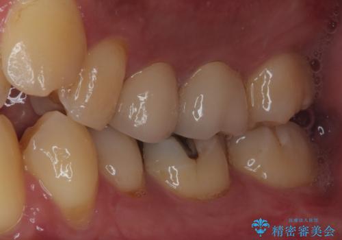
生活歯髄療法を行い状態が安定していることを確認してからオールセラミッククラウンによる補綴治療を手前の銀歯を含め2本同時に行いました。
- 費用(概算)
- 30万円(税込み)費用は治療当時の料金となります
生活歯髄療法について
生活歯髄療法は、むし歯が神経の近くまで進行している場合でも、できる限り神経を残すことを目指す治療法です。
従来であれば神経を取る必要があるケースでも、特殊な材料を使用することで神経を保護し、歯の寿命を延ばせる可能性があります。
MTAは
・神経をやさしく保護する
・細菌の侵入を防ぐ
・封鎖性が高く再感染を防ぎやすい
といった特長があり、歯を長く守るために非常に優れた材料です。
神経を残すことができれば、歯は栄養を受け取り続けるため、
将来的な破折リスクの軽減にもつながります。
神経を取るといわれた方でも、残せる可能性がある場合があります。
まずは一度ご相談ください。精密な診査のもと、最善の選択肢をご提案いたします。
*処置中に神経組織からの止血が困難な場合は抜髄処置に移行する可能性がございます。
セラミック治療の注意事項(リスク・副作用など)
- 天然歯を削ります
- 硬い素材は天然歯を傷つけてしまう場合があります
- かみ合わせや歯ぎしりが強すぎる方はセラミックが割れてしまう可能性があります
- 自費診療(保険適用外治療)となります
根管治療の注意事項(リスク・副作用など)
- 根管治療により類似の全ての症例の問題が解決するわけではなく、症例はあくまでも一例です
- 根管治療により痛みや腫れがひかない事や、術後に痛みや腫れが生じる事、治療によるファイル破折やパーフォレーションなどの偶発症、術後の歯根破折を生じる可能性もあります
- 自費診療(保険適用外)となります
その他の注意事項(リスク・副作用など)
- 担当歯科医師、歯科衛生士又は医院スタッフから受けた説明・注意事項をよくご確認ください
- 医療を提供するに当たり、適切な説明を行い、患者様の十分な理解を得るよう努めております
当サイトの内容、テキスト、画像等の無断転載、複製、複写、盗用を固く禁じます。










