症例詳細
Case detail
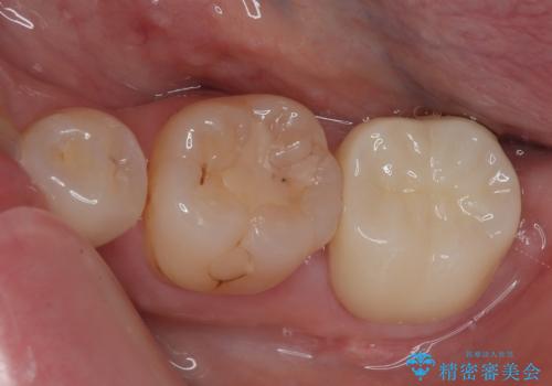
歯に穴が開いた セラミックインレー修復
治療症例の内容
- 診療科目
- 治療カテゴリ
- 担当医
- 有澤哲郎(ドクタープロフィール)
- 患者様
- 30代男性
- 治療期間
- 1ヶ月
- 治療回数
- 2-5回
- 治療計画
- 当院でインビザラインによる矯正治療が終わった患者様です。
矯正治療終了時歯に穴が開いたとのことで、治療を希望されました。
拡大鏡視野化にて、虫歯を除去し、セラミックインレー(セラミックの詰め物)に適した形に整えました。
セラミックインレー装着時には、ラバーダム防湿にて装着をしています。
- 費用(概算)
- 8万円(税込み)費用は治療当時の料金となります
治療について
見た目、噛み合わせともに満足していただけました。
ラバーダム防湿を行い、セラミックの接着をすることで、唾液や血液などの接着阻害因子を排除することができます。
セラミック治療の注意事項(リスク・副作用など)
- 天然歯を削ります
- 硬い素材は天然歯を傷つけてしまう場合があります
- かみ合わせや歯ぎしりが強すぎる方はセラミックが割れてしまう可能性があります
- 自費診療(保険適用外治療)となります
当サイトの内容、テキスト、画像等の無断転載、複製、複写、盗用を固く禁じます。









