症例詳細
Case detail
ぐらつく乳犬歯を抜歯即時インプラントで短期間に機能回復
治療症例の内容
- 患者様
- 50代女性
- 治療期間
- 3ヶ月
- 治療回数
- 2-5回
- 治療計画
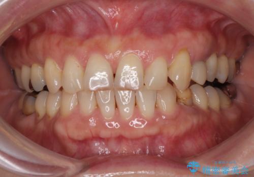
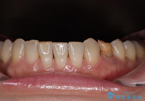
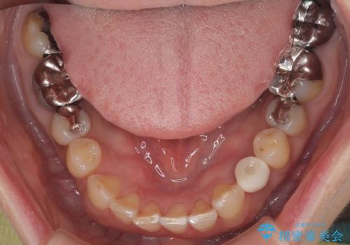
- 「最近、左下の歯がぐらぐらしてきて不安…」
そんなお悩みをきっかけにご来院された50代女性の患者様の症例です。
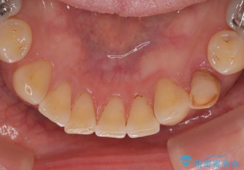
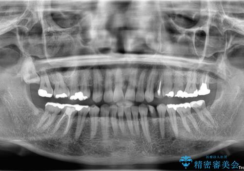
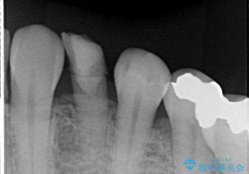
診査の結果、左下に残存していた乳犬歯が水平的に破折しており、残念ながら保存は困難な状態でした。
また、右下にはスペースがあり、左上にも乳犬歯が残存しているという状態で、治療方法としては矯正治療を含めた複数の選択肢が考えられました。
しかし患者様は
今から矯正治療はしたくない
できるだけ早く治療を終えたい
というご希望をお持ちでした。
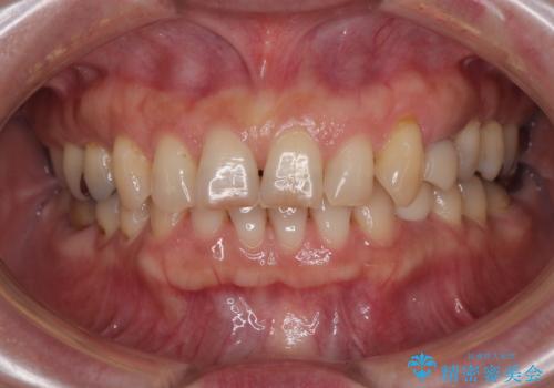
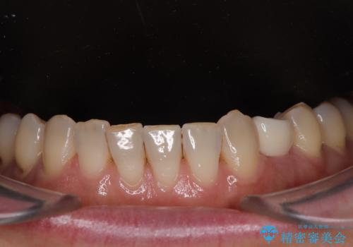
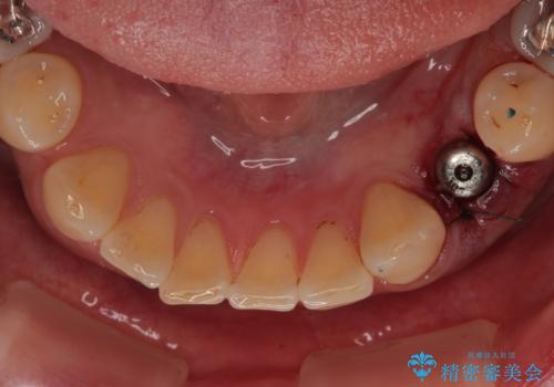
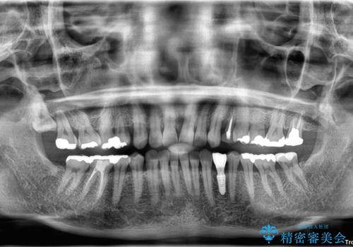
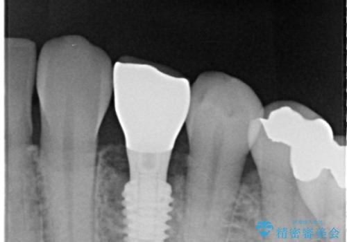
そこで今回は、抜歯と同時にインプラントを埋入する「抜歯即時インプラント治療」をご提案。
外科処置の回数を抑え、治療期間を短縮できる点が大きなメリットです。
- 費用(概算)
- 49万円(税込)費用は治療当時の料金となります
治療について
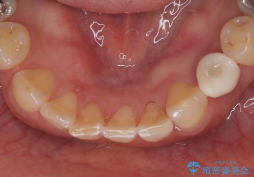
治療は計画通りに進み、約3か月で最終補綴まで完了。
見た目だけでなく、しっかり噛める機能も回復し、患者様にも大変ご満足いただけました。
インプラント治療の注意事項(リスク・副作用など)
- 外科手術のため、術後に痛みや腫れ、違和感を伴います
- メンテナンスを怠ったり喫煙により、お口の中に大きな悪影響を及ぼすインプラント周囲炎等にかかる可能性があります
- 糖尿病、肝硬変、心臓病等の場合、インプラント治療ができない可能性があります
- 高血圧、貧血・不整脈等の場合、インプラント治療後に治癒不全を招く可能性があります
- 自費診療(保険適用外治療)となります
当サイトの内容、テキスト、画像等の無断転載、複製、複写、盗用を固く禁じます。













