症例詳細
Case detail
銀歯からセラミックへ。右上奥歯の精密根管治療と審美修復
治療症例の内容
- 診療科目
- 治療カテゴリ
- 担当医
- 河口智英(ドクタープロフィール)
- 患者様
- 30代女性
- 治療期間
- 1ヶ月
- 治療回数
- 5-10回
- 治療計画
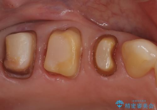
- 右上の奥歯(5番・6番・7番)に入っている銀歯を白くし、お口全体の健康状態を改善したいという主訴でご来院されました。
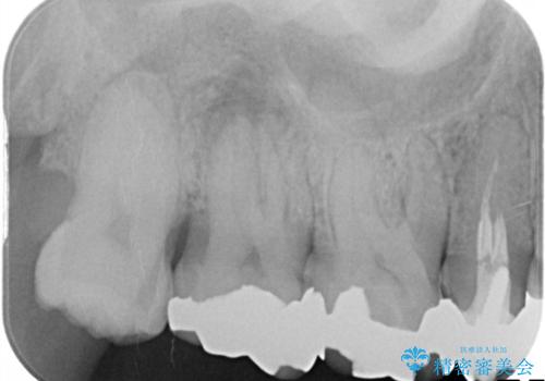
精密な診査の結果、一番奥の7番目の歯の根の先に、根尖病変(膿の袋)が認められました。そのため、単に被せ物を新しくするだけでなく、まずは土台となる根の状態を整える必要があると判断。右上7番には再発を防ぐための精密根管治療を行い、その後、5番・6番・7番の3本全てを、強度と審美性に優れたセラミッククラウンで修復する計画を立案しました。
- 費用(概算)
- 50万円費用は治療当時の料金となります
治療について
治療は、基礎となる根の処置から段階的に進められました。
精密根管治療 右上7番に対して、歯科用顕微鏡などを用いた精密根管治療を実施しました。根管内の感染源を徹底的に除去し、緊密に充填。経過観察の結果、根尖病変は完全に消失し、健康な状態を取り戻すことができました。
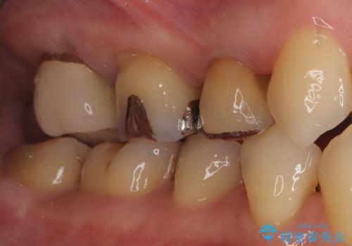
セラミッククラウンによる修復 根の状態が安定した後、5番・6番・7番の3本にセラミッククラウンを装着しました。以前のメタルインレーは歯を部分的に覆うものでしたが、今回は歯の破折リスクを抑え、全体を保護するためにフルカバーのクラウンを選択しています。
治療後は、金属特有の見た目が解消されただけでなく、精密な根管治療によって抜歯のリスクも回避されました。適合性の高いセラミックで修復したことにより、清掃性も向上し、再発しにくい清潔な口腔環境を実現しています。
セラミック治療の注意事項(リスク・副作用など)
- 天然歯を削ります
- 硬い素材は天然歯を傷つけてしまう場合があります
- かみ合わせや歯ぎしりが強すぎる方はセラミックが割れてしまう可能性があります
- 自費診療(保険適用外治療)となります
根管治療の注意事項(リスク・副作用など)
- 根管治療により類似の全ての症例の問題が解決するわけではなく、症例はあくまでも一例です
- 根管治療により痛みや腫れがひかない事や、術後に痛みや腫れが生じる事、治療によるファイル破折やパーフォレーションなどの偶発症、術後の歯根破折を生じる可能性もあります
- 自費診療(保険適用外)となります
当サイトの内容、テキスト、画像等の無断転載、複製、複写、盗用を固く禁じます。










