症例詳細
Case detail
前歯の突出と下顎の偏位を改善。審美ワイヤーで整えるバランスの良い歯並び
治療症例の内容
- 診療科目
- 担当医
- 河口智英(ドクタープロフィール)
- 患者様
- 30代女性
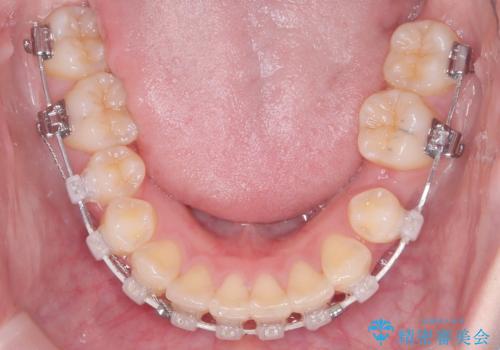
- 矯正装置
- 審美ワイヤー
- 治療期間
- 2年
- 治療回数
- 10-30回
- 治療計画
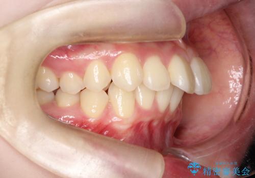
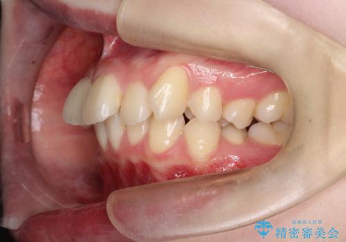
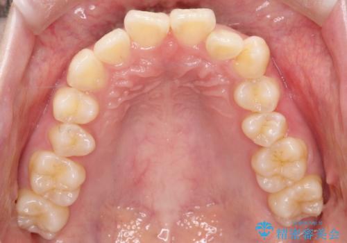
- 前歯が突き出ていることによる口元の突出感と、下顎が右側にズレていること(右方偏位)を主訴にご来院されました。
精密検査の結果、歯を並べるスペースの不足に加え、上下の歯列の正中(中心)が大きくズレていることが確認されました。突出した口元を下げ、顎の左右バランスを整えるためのスペースを確保するため、右上・左上・左下の4番目(第一小臼歯)を計3本抜歯する計画を立案。装置は、治療中の見た目にも配慮し、目立ちにくい審美ワイヤーを選択しました。
- 費用(概算)
- 100万円費用は治療当時の料金となります
治療について
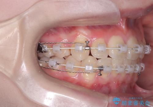
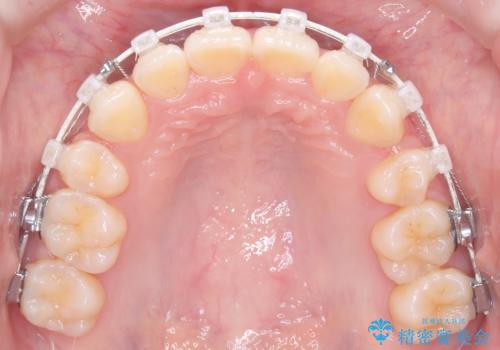
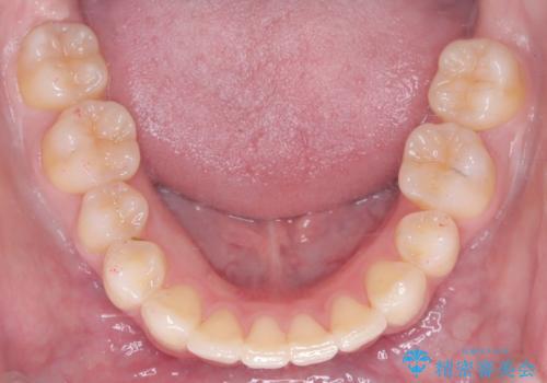
治療は、抜歯によって得られたスペースを活用し、前歯を後方へ移動させながら上下の中心を一致させる緻密な調整を行いました。
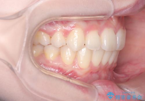
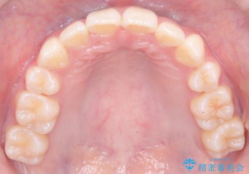
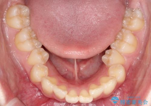
特に下顎の右方偏位に対しては、ワイヤーによる繊細なコントロールを行い、左右の咬合バランスを整えることに重点を置きました。2年半の治療期間を経て、突出していた前歯は理想的な位置に収まり、顎のズレも大幅に改善されました。
治療完了後は、お顔全体のバランスが整い、横顔のライン(Eライン)も美しく変化しました。審美ワイヤーを使用したことで、長期間の治療中もストレスを最小限に抑えながら、機能的で健康的な咬み合わせを獲得することができました。
ワイヤー矯正の注意事項(リスク・副作用など)
- 治療中は違和感や痛みが起こることがあります
- 症状により、抜歯が必要な場合があります
- 治療中は歯磨きがしにくくなるため、虫歯や歯周病になりやすくなります
- 矯正治療後の保定が不十分だと後戻り(元の位置に戻ろうとする動き)をします
- 自費診療(保険適用外)となります
当サイトの内容、テキスト、画像等の無断転載、複製、複写、盗用を固く禁じます。















