症例詳細
Case detail
【ワイヤー矯正】かみ合わせを治したい
治療症例の内容
- 担当医
- 町田睦月(ドクタープロフィール)
- 患者様
- 20代男性
- 治療期間
- 3年
- 治療回数
- 30回以上
- 治療計画
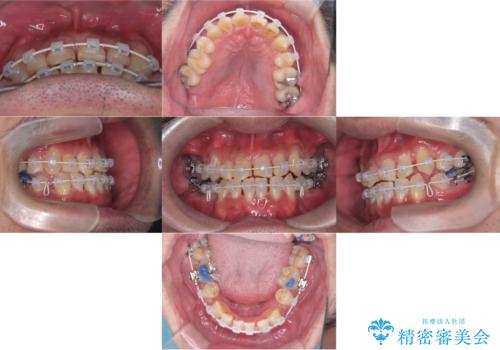
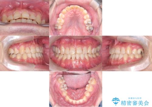
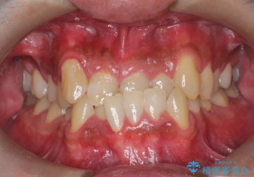
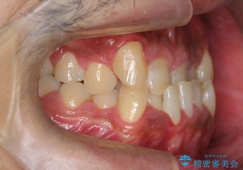
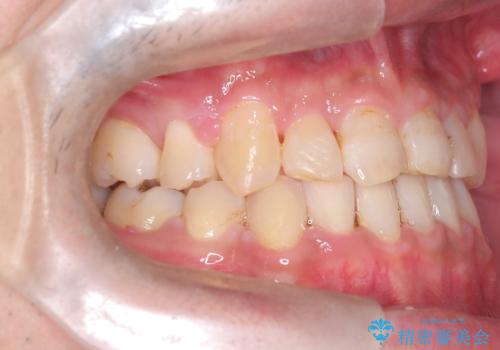
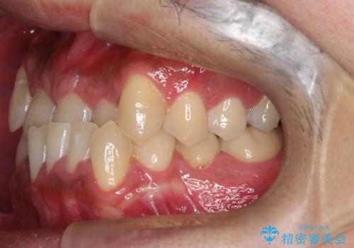
- 主訴:噛み合わせが反対になっているのを治したい
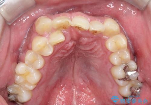
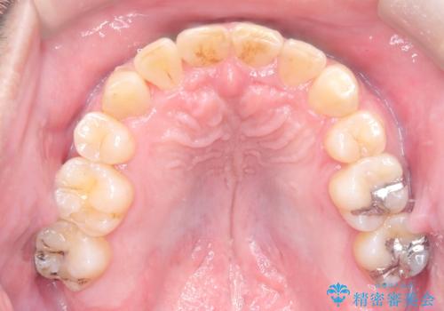
反対咬合と叢生改善のため、上下左右4番目の歯を抜歯し、審美装置にて矯正治療を行いました。
- 費用(概算)
- 1,100,000円(税抜き)費用は治療当時の料金となります
治療について
骨格性Ⅲ級を示しましたが、構成咬合位がとれたことから反対咬合と叢生改善のため、上下左右第一小臼歯を抜歯しワイヤー矯正を行いました。途中、バイトアップを行っています。
期間:3年3か月
ワイヤー矯正の注意事項(リスク・副作用など)
- 治療中は違和感や痛みが起こることがあります
- 症状により、抜歯が必要な場合があります
- 治療中は歯磨きがしにくくなるため、虫歯や歯周病になりやすくなります
- 矯正治療後の保定が不十分だと後戻り(元の位置に戻ろうとする動き)をします
- 自費診療(保険適用外)となります
当サイトの内容、テキスト、画像等の無断転載、複製、複写、盗用を固く禁じます。

















