症例詳細
Case detail
歯根吸収した前歯 短期間でのインプラント治療
治療症例の内容
- 担当医
- 藤巻太一朗(ドクタープロフィール)
- 患者様
- 20代女性
- 治療期間
- 5ヶ月
- 治療回数
- 2-5回
- 治療計画
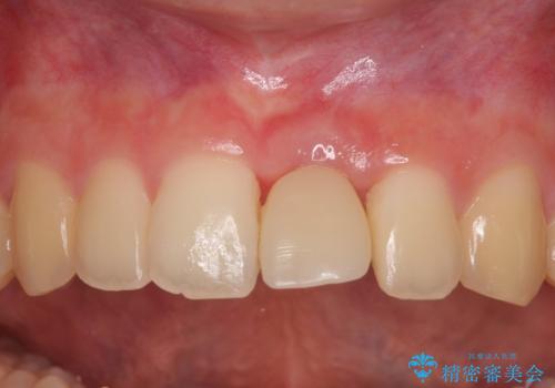
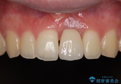
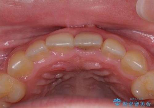
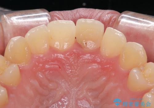
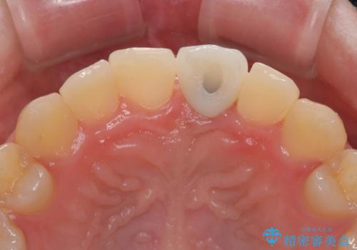
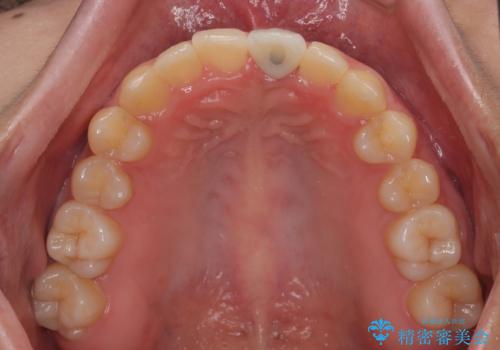
- 前歯のインプラント治療を希望して来院された患者様です。
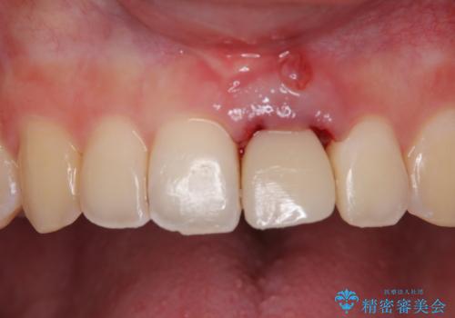
小学生の時に前歯を殴打したとのことで、歯根が吸収してしまい、抜歯が必要と判断されました。
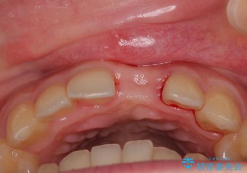
抜歯、インプラント埋入、仮歯の装着が同時に可能な1DAYインプラントを行いたいところでしたが、吸収による歯肉の炎症が著しいため、抜歯後に炎症が治まるまで待機し、極力早期にインプラント埋入を行うこととしました。
- 費用(概算)
- 52万円(税込)費用は治療当時の料金となります
治療について
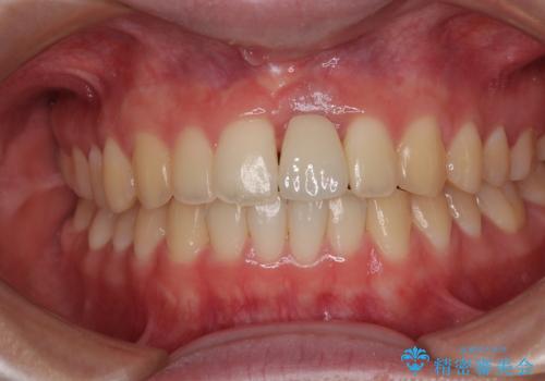
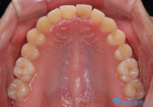
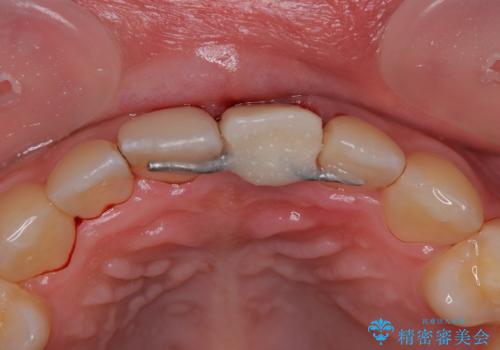
長い間歯肉が炎症を患っていたため、炎症改善後には歯肉がやや退縮した状態となっていました。
歯肉移植により歯肉形態を改善するプランも提案しましたが、十分な仕上がりとのことで、大変満足していただけました。
インプラント治療の注意事項(リスク・副作用など)
- 外科手術のため、術後に痛みや腫れ、違和感を伴います
- メンテナンスを怠ったり喫煙により、お口の中に大きな悪影響を及ぼすインプラント周囲炎等にかかる可能性があります
- 糖尿病、肝硬変、心臓病等の場合、インプラント治療ができない可能性があります
- 高血圧、貧血・不整脈等の場合、インプラント治療後に治癒不全を招く可能性があります
- 自費診療(保険適用外治療)となります
セラミック治療の注意事項(リスク・副作用など)
- 天然歯を削ります
- 硬い素材は天然歯を傷つけてしまう場合があります
- かみ合わせや歯ぎしりが強すぎる方はセラミックが割れてしまう可能性があります
- 自費診療(保険適用外治療)となります
当サイトの内容、テキスト、画像等の無断転載、複製、複写、盗用を固く禁じます。






















