症例詳細
Case detail
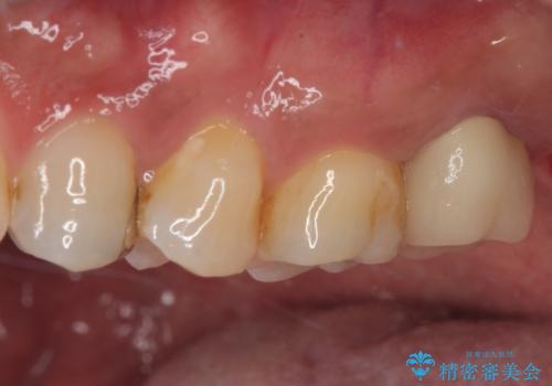
腫れて痛む奥歯 抜歯を覚悟した歯のむし歯治療
治療症例の内容
- 診療科目
- 担当医
- 藤巻太一朗(ドクタープロフィール)
- 患者様
- 40代男性
- 治療期間
- 3ヶ月
- 治療回数
- 2-5回
- 治療計画
- 奥歯の周りの歯肉が腫れており、噛む度に痛みを感じるとのことで来院された患者様です。
ご自身の感覚として、抜歯は免れないと判断されており、インプラント治療を希望されていました。
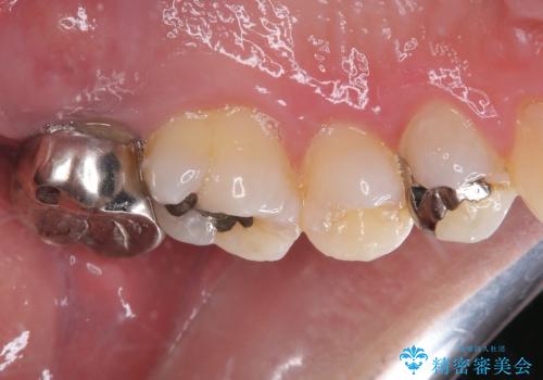
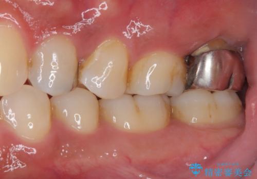
レントゲンや診察を行ったところ、抜歯となる可能性はありましたが、まずは銀歯を外した上で根管治療を行うことが可能であるか判断することが先決であるとご説明し、根管治療とインプラント治療の双方をご案内し、治療を開始することとしました。
- 費用(概算)
- 30万円(税込)費用は治療当時の料金となります
治療について
骨の透過像が非常に大きく、根管も大きく削られていたため、歯根破折による抜歯の可能性がありましたが、根管治療可能な状態でした。
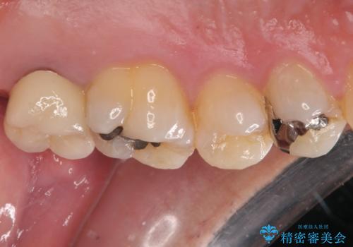
初回治療後には速やかに痛みが改善され、非常に大きかったレントゲンでの骨透過像も改善されました。
根管治療の注意事項(リスク・副作用など)
- 根管治療により類似の全ての症例の問題が解決するわけではなく、症例はあくまでも一例です
- 根管治療により痛みや腫れがひかない事や、術後に痛みや腫れが生じる事、治療によるファイル破折やパーフォレーションなどの偶発症、術後の歯根破折を生じる可能性もあります
- 自費診療(保険適用外)となります
セラミック治療の注意事項(リスク・副作用など)
- 天然歯を削ります
- 硬い素材は天然歯を傷つけてしまう場合があります
- かみ合わせや歯ぎしりが強すぎる方はセラミックが割れてしまう可能性があります
- 自費診療(保険適用外治療)となります
当サイトの内容、テキスト、画像等の無断転載、複製、複写、盗用を固く禁じます。












