症例詳細
Case detail
飛び出した前歯を引っ込める ワイヤー装置の非抜歯矯正
治療症例の内容
- 診療科目
- 担当医
- 藤巻太一朗(ドクタープロフィール)
- 患者様
- 20代女性
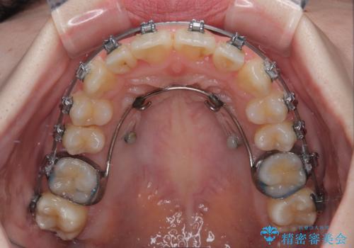
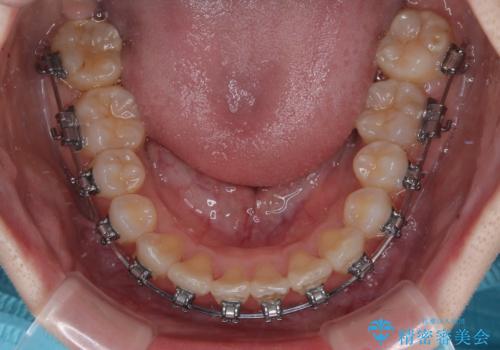
- 矯正装置
- メタルブラケット
- 治療期間
- 1年11ヶ月
- 治療回数
- 10-30回
- 治療計画
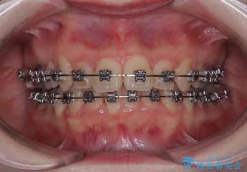
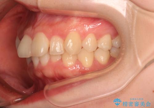
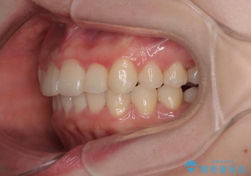
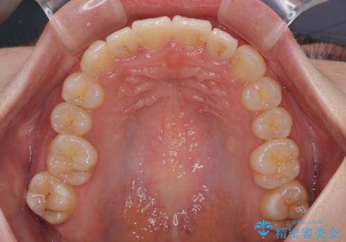
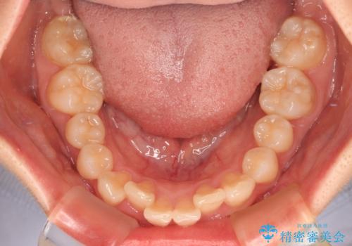
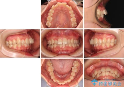
- 上下前歯のデコボコを気にして来院された患者様です。
マウスピースでもワイヤー装置でも対応可能でしたが、右側の咬み合わせが上顎がやや前方に位置していることから、補助装置を使用することが推奨されました。
自己管理の煩わしさを気にして、補助装置併用によるワイヤー装置での矯正治療を行うこととしました。
- 費用(概算)
- 90万円(税込)費用は治療当時の料金となります
治療について
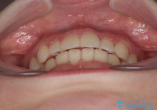
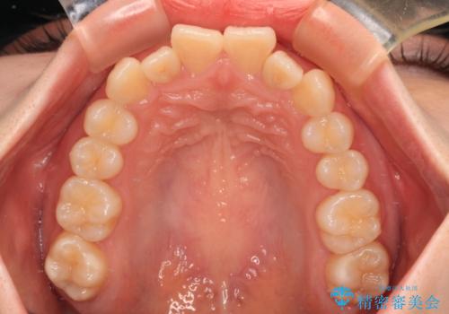
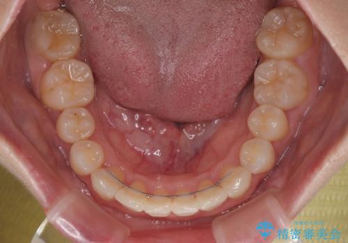
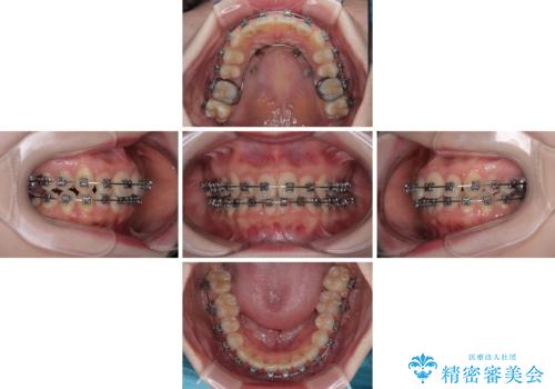
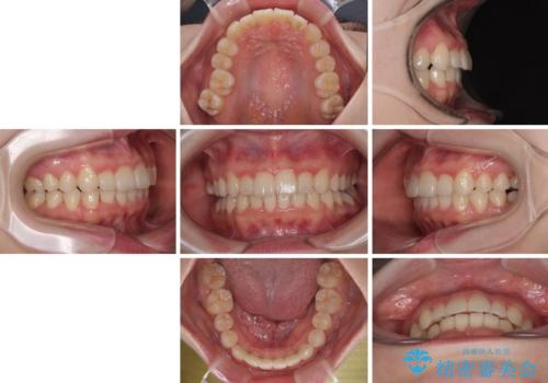
右上と左下の第一大臼歯2本が周辺の歯と比べて位置がずれていたため、ゴムかけやワイヤーに曲げを入れることで移動を試みましたが、どうよら癒着をしており、移動困難と判断されました。
見た目や咬み合わせに違和感がないとのことで、癒着歯の無理な移動は試みずに治療を終えることとしました。
ワイヤー矯正の注意事項(リスク・副作用など)
- 治療中は違和感や痛みが起こることがあります
- 症状により、抜歯が必要な場合があります
- 治療中は歯磨きがしにくくなるため、虫歯や歯周病になりやすくなります
- 矯正治療後の保定が不十分だと後戻り(元の位置に戻ろうとする動き)をします
- 自費診療(保険適用外)となります
当サイトの内容、テキスト、画像等の無断転載、複製、複写、盗用を固く禁じます。


























