症例詳細
Case detail
深い咬み合わせと飛び出した前歯 ワイヤー装置での抜歯矯正治療
治療症例の内容
- 診療科目
- 担当医
- 藤巻太一朗(ドクタープロフィール)
- 患者様
- 20代女性
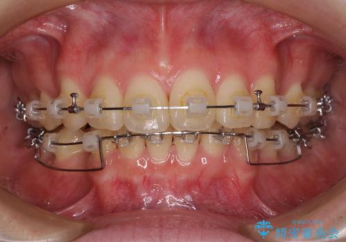
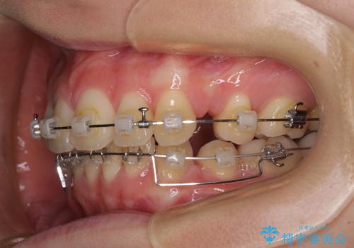
- 矯正装置
- クリアブラケット
- 治療期間
- 3年10ヶ月
- 治療回数
- 30回以上
- 治療計画
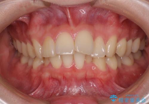
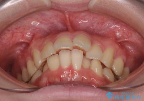
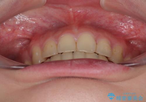
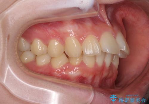
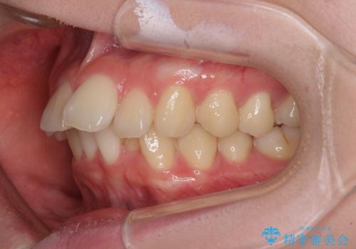
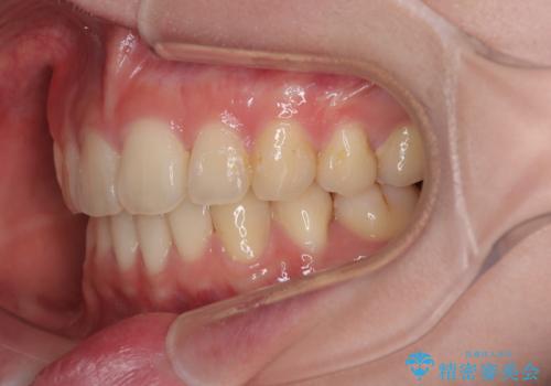
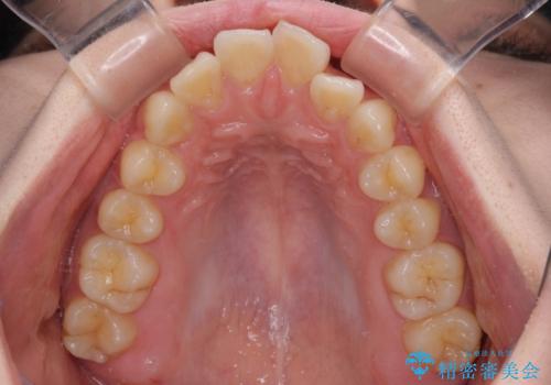
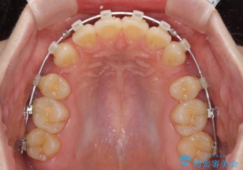
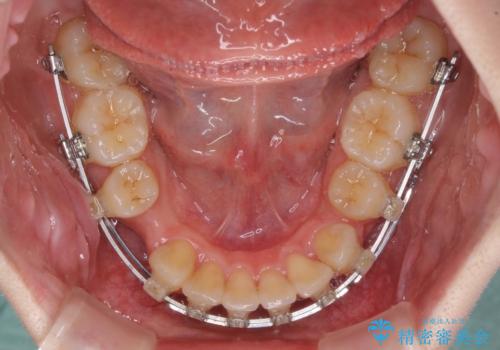
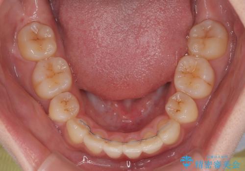
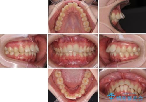
- 下顎の前歯が上顎の歯肉に咬みこむくらいに突出した上顎前歯を気にして来院された患者様です。
口元の突出感はないものの、上顎前歯が前方に傾斜して突出しており、前後に大きなズレがあり非常に深い咬み合わせとなっていました。
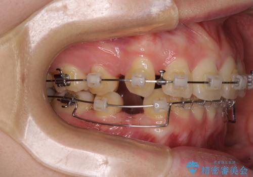
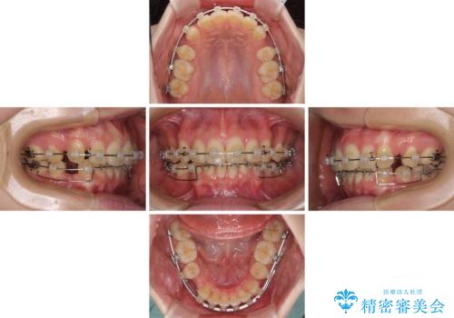
前突間を改善するため、上顎左右の第一小臼歯を抜歯してワイヤー装置にて矯正治療を行うこととしました。
- 費用(概算)
- 105万円(税込)費用は治療当時の料金となります
治療について
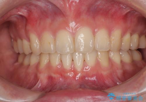
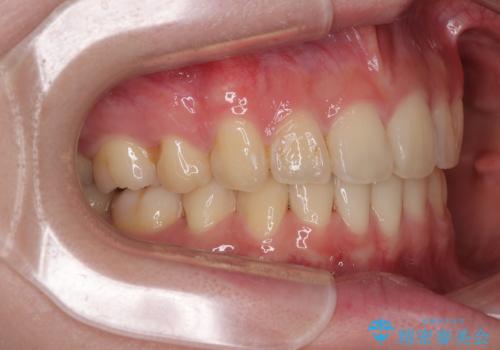
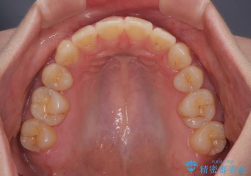
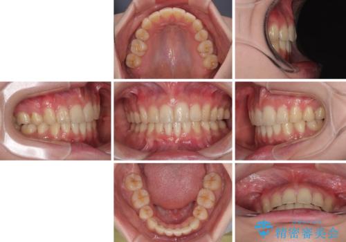
深い咬み合わせは上顎前歯を引っ込ませる大きな障害となるため、咬み合わせの改善が非常に重要となります。やや期間はかかりましたが、当初狙った通りの仕上がりで治療を終えることができました。
ワイヤー矯正の注意事項(リスク・副作用など)
- 治療中は違和感や痛みが起こることがあります
- 症状により、抜歯が必要な場合があります
- 治療中は歯磨きがしにくくなるため、虫歯や歯周病になりやすくなります
- 矯正治療後の保定が不十分だと後戻り(元の位置に戻ろうとする動き)をします
- 自費診療(保険適用外)となります
当サイトの内容、テキスト、画像等の無断転載、複製、複写、盗用を固く禁じます。


























