症例詳細
Case detail
すきっ歯は放置NG?インビザラインで目立たず改善
治療症例の内容
- 患者様
- 20代男性
- 矯正装置
- インビザラインモデレート
- 治療期間
- 11ヶ月
- 治療回数
- 5-10回
- 治療計画
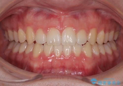
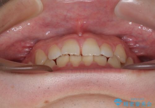
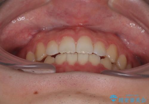
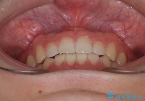
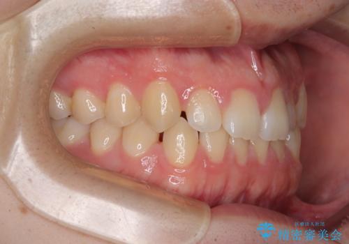
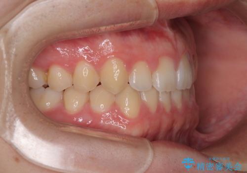
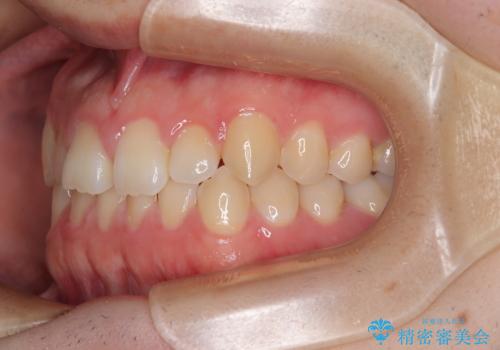
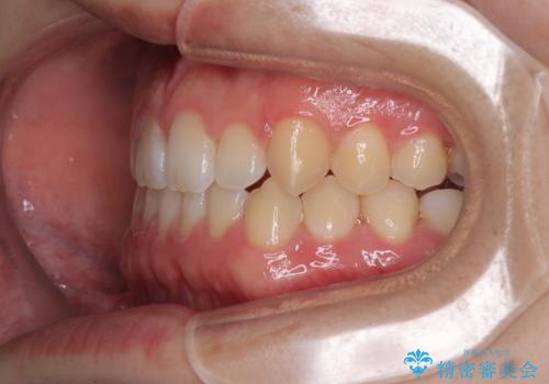
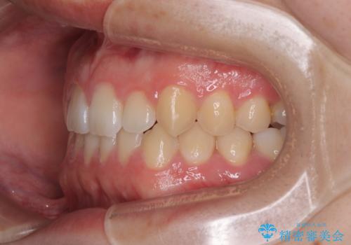
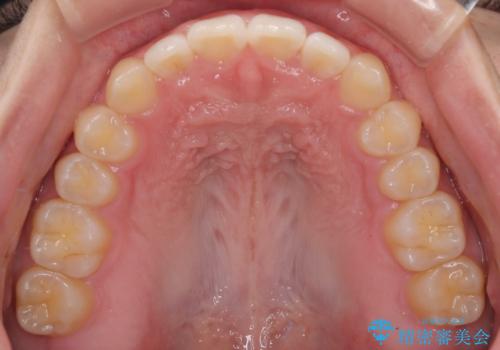
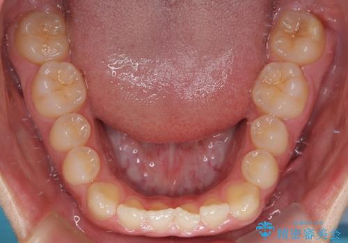
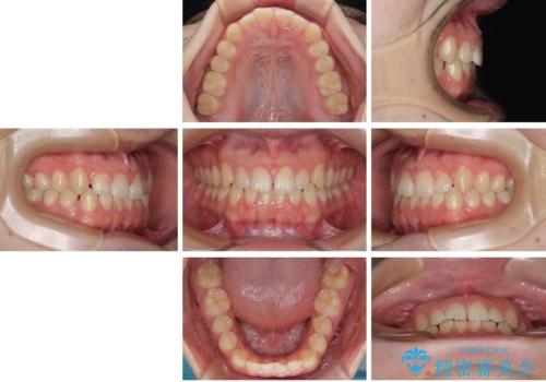
- 「前歯のすきっ歯が気になる」「食べ物が歯の間に詰まりやすい」とのお悩みで来院された20代男性の患者様です。
歯と歯の間に隙間がある**空隙歯列(すきっ歯)**は、見た目の問題だけでなく、食片圧入による歯肉の腫れや、隣接面う蝕のリスク増加につながることがあります。
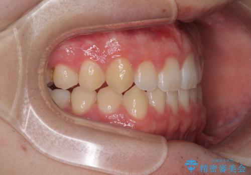
患者様は「できるだけ目立たない矯正治療」を希望されていたため、インビザラインを用いた治療計画を立案しました。
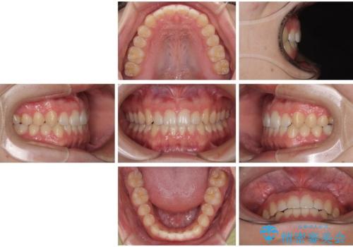
インビザラインは透明で装着していても気づかれにくく、日常生活やお仕事への影響を最小限に抑えながら治療を進めることが可能です。
診査により舌突出癖が認められました。この癖は、すきっ歯の原因となるだけでなく、矯正後の後戻りリスクを高めます。
そこで矯正治療と並行して**MFT(口腔筋機能療法)**を実施し、舌や口周囲筋の正しい使い方を習得していただきました。
- 費用(概算)
- 60万円(税込)費用は治療当時の料金となります
治療について
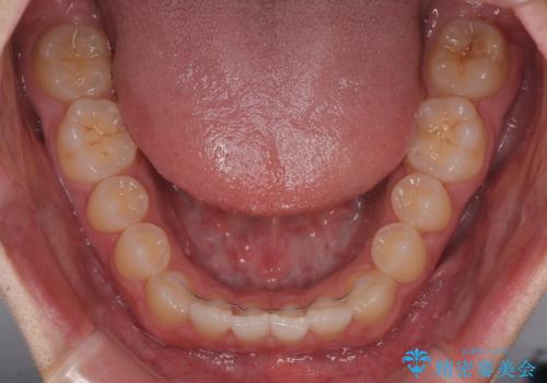
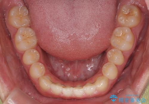
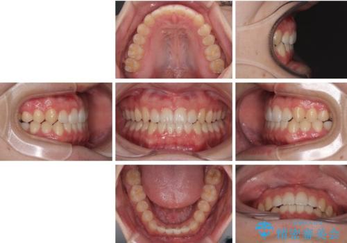
マウスピース矯正特有の奥歯への圧下により、一時的に噛みにくさを感じる場面もありましたが、
装着時間の調整と経過観察を行うことで症状は改善し、スムーズに治療を完了しました。
マウスピース矯正の注意事項(リスク・副作用など)
- 口腔内・歯並びの状態によっては対応できない場合があります
- マウスピース型矯正装置の長時間装着(1日20時間以上)が必須です
- 治療計画通りに進めるためには、患者様の意志が重要になります
- 矯正治療後の保定が不十分だと後戻り(元の位置に戻ろうとする動き)をします
- 薬機法対象外の矯正歯科装置のため医薬品副作用被害救済制度の対象外となる場合があります
- 自費診療(保険適用外)となります
当サイトの内容、テキスト、画像等の無断転載、複製、複写、盗用を固く禁じます。




























