症例詳細
Case detail
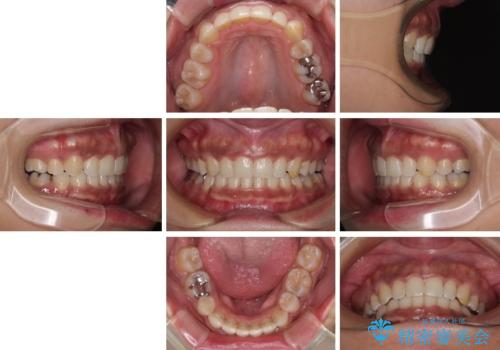
抜歯矯正で口が閉じやすく|ディープバイトと叢生を改善した症例
治療症例の内容
- 担当医
- 齋藤佑磨(ドクタープロフィール)
- 患者様
- 20代女性
- 矯正装置
- 審美装置
- 治療期間
- 3年6ヶ月
- 治療回数
- 30回以上
- 治療計画
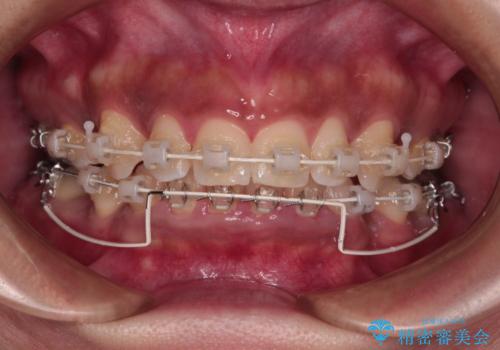
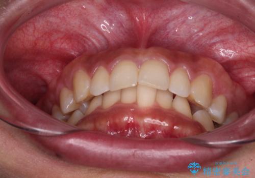
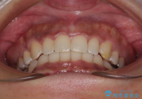
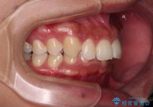
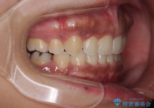
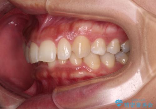
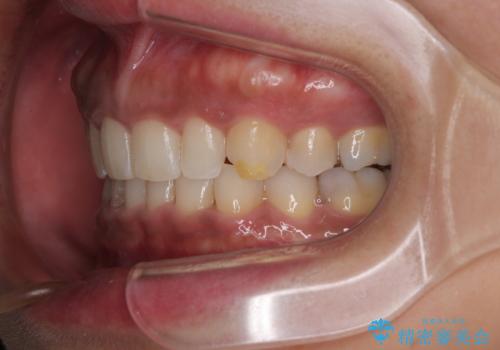
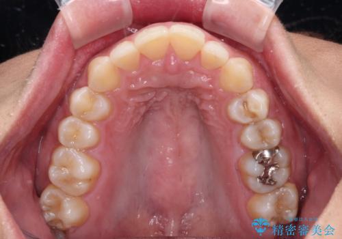
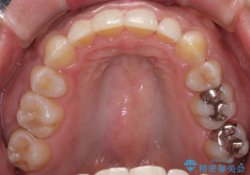
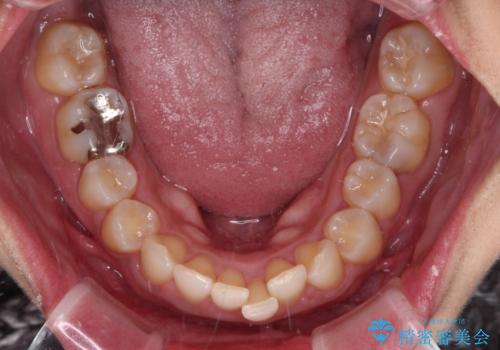
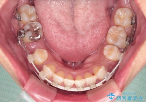
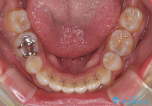
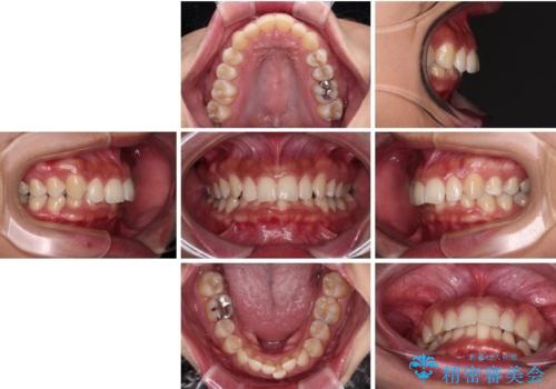
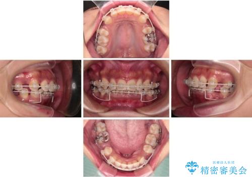
- 下顎前歯部には叢生が認められ、口を自然に閉じにくい状態でした。また、噛み合わせが深い「ディープバイト」の状態で、見た目だけでなく将来的な奥歯への負担も懸念されました。
口元の突出感を改善するため、上下左右の小臼歯4本を抜歯する矯正治療を計画しました。
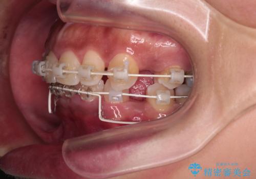
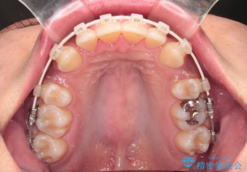
「矯正装置が目立つのは避けたい」というご希望があったため、プラスチックブラケット+コーティングワイヤーを使用した審美装置を選択しました。
- 費用(概算)
- 105万円(税込)費用は治療当時の料金となります
治療について
抜歯矯正は「歯を抜くのが不安」と感じられる方も多いですが、
適切な診断と治療計画により、口元・噛み合わせ・将来的な安定性を同時に改善することが可能です。
ワイヤー矯正の注意事項(リスク・副作用など)
- 治療中は違和感や痛みが起こることがあります
- 症状により、抜歯が必要な場合があります
- 治療中は歯磨きがしにくくなるため、虫歯や歯周病になりやすくなります
- 矯正治療後の保定が不十分だと後戻り(元の位置に戻ろうとする動き)をします
- 自費診療(保険適用外)となります
当サイトの内容、テキスト、画像等の無断転載、複製、複写、盗用を固く禁じます。


























