症例詳細
Case detail
銀歯を外してのインプラント・セラミック治療
治療症例の内容
- 患者様
- 50代女性
- 治療期間
- 8ヶ月
- 治療回数
- 10-30回
- 治療計画
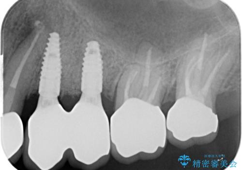
- 長年気になっている銀歯を外したい、と希望され来院されました。
銀歯を除去したところ大臼歯は十分な歯質が残っていたため残すことができましたが、小臼歯の2本は虫歯の再発により残っている歯質が非常に少なく破折リスクが非常に高いと判断しました。
長期的な予後を見込むことが難しいため、相談の上抜去を行いインプラント治療を進めていくこととなりました。
- 費用(概算)
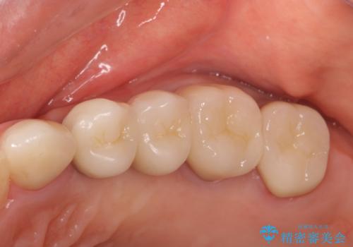
- 123.2万円(インプラント×2・チタンカスタムアバットメント×2・ジルコニアクラウン×4・仮歯×4)費用は治療当時の料金となります
治療について
ただ銀歯を外してセラミックにするだけではなく、長期的な観点に立ち長持ちするような環境を整備できるよう心がけ歯科治療をおこなっております。
インプラント治療の注意事項(リスク・副作用など)
- 外科手術のため、術後に痛みや腫れ、違和感を伴います
- メンテナンスを怠ったり喫煙により、お口の中に大きな悪影響を及ぼすインプラント周囲炎等にかかる可能性があります
- 糖尿病、肝硬変、心臓病等の場合、インプラント治療ができない可能性があります
- 高血圧、貧血・不整脈等の場合、インプラント治療後に治癒不全を招く可能性があります
- 自費診療(保険適用外治療)となります
セラミック治療の注意事項(リスク・副作用など)
- 天然歯を削ります
- 硬い素材は天然歯を傷つけてしまう場合があります
- かみ合わせや歯ぎしりが強すぎる方はセラミックが割れてしまう可能性があります
- 自費診療(保険適用外治療)となります
当サイトの内容、テキスト、画像等の無断転載、複製、複写、盗用を固く禁じます。










