症例詳細
Case detail
前歯の劣化したコンポジットレジン修復をセラミッククラウンへ
治療症例の内容
- 診療科目
- 治療カテゴリ
- 担当医
- 大元洋佑(ドクタープロフィール)
- 患者様
- 30代女性
- 治療期間
- 1ヶ月
- 治療回数
- 2-5回
- 治療計画
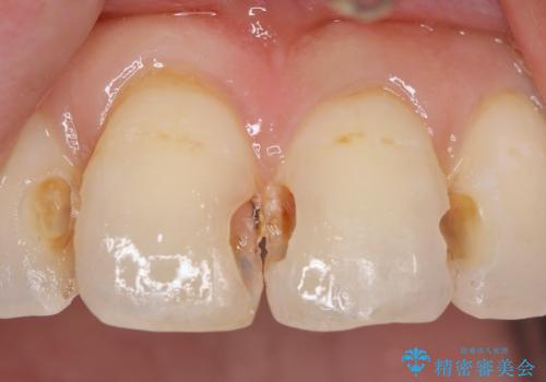
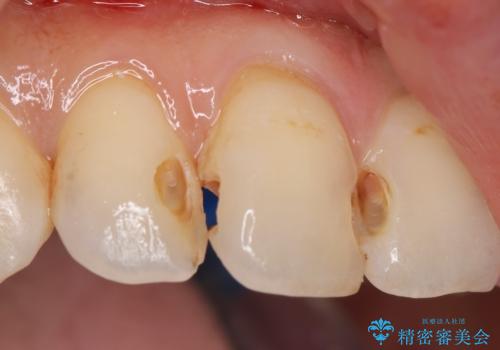
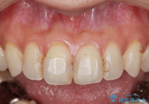
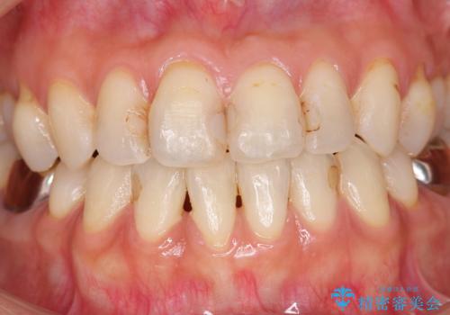
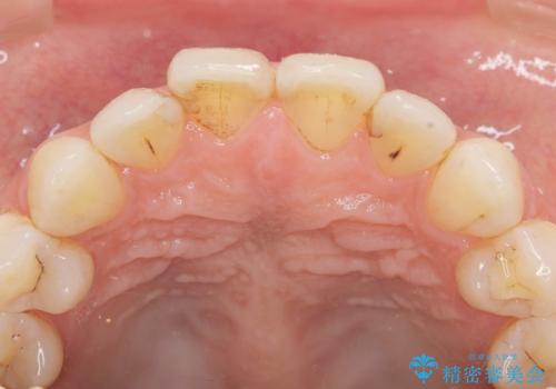
- 数年前に前歯の虫歯治療し、コンポジットレジン修復がなされてい箇所の審美障害の改善を希望され来院されました。
再度レジン修復を行うか、劣化のスピードは遅いが歯の削合が必要なセラミッククラウンの治療の選択肢をご提案し、今後のやりかえの心配の少ないセラミッククラウン治療を希望されました。
- 費用(概算)
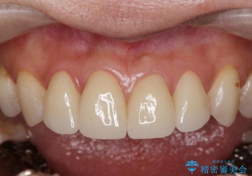
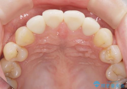
- 52.8万円(ジルコニアクラウン×4・仮歯×4)費用は治療当時の料金となります
治療について
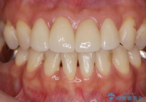
自然な歯の仕上がりに満足いただくことができました。
セラミック治療の注意事項(リスク・副作用など)
- 天然歯を削ります
- 硬い素材は天然歯を傷つけてしまう場合があります
- かみ合わせや歯ぎしりが強すぎる方はセラミックが割れてしまう可能性があります
- 自費診療(保険適用外治療)となります
当サイトの内容、テキスト、画像等の無断転載、複製、複写、盗用を固く禁じます。














