症例詳細
Case detail
【モニター】閉じにくい前歯とクロスバイト ワイヤー装置での抜歯矯正
治療症例の内容
- 患者様
- 20代女性
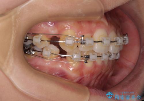
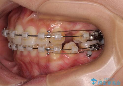
- 矯正装置
- クリアブラケット
- 治療期間
- 3年6ヶ月
- 治療回数
- 30回以上
- 治療計画
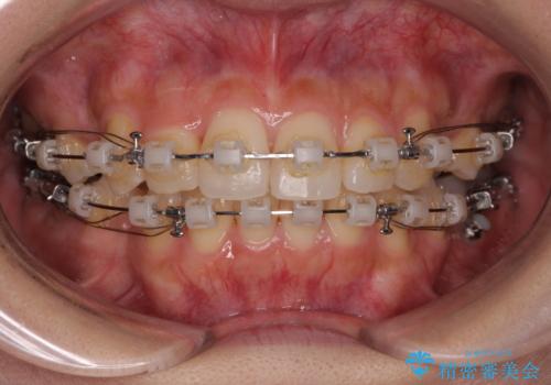
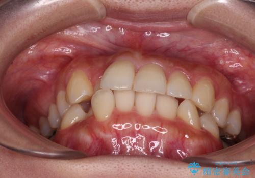
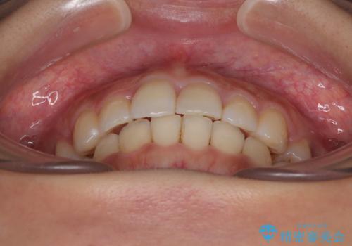
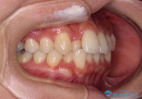
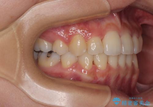
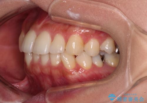
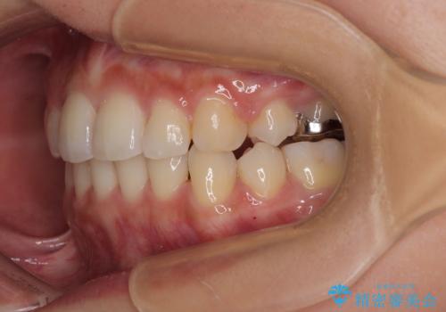
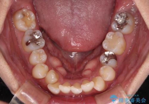
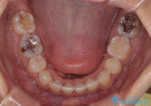
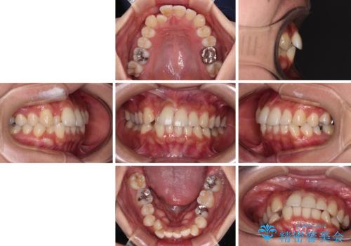
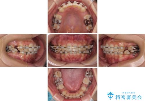
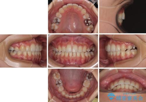
- 前歯のクロスバイトと口元の膨らんだ横顔の印象を気にして来院された患者様です。
ご本人の気にされている口元は、分析数値からするとそれほど突出しているものではありませんでした。
しかしながら。そのまま叢生を解消すると横顔が突出した印象になる可能性が高かったため、上下左右の小臼歯4本を抜歯して、ワイヤー装置にて矯正治療を行うこととしました。
- 費用(概算)
- 95万円(税込)費用は治療当時の料金となります
※顔写真掲載にあたり、患者様の了解を得ております
治療について
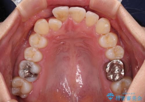
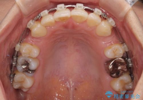
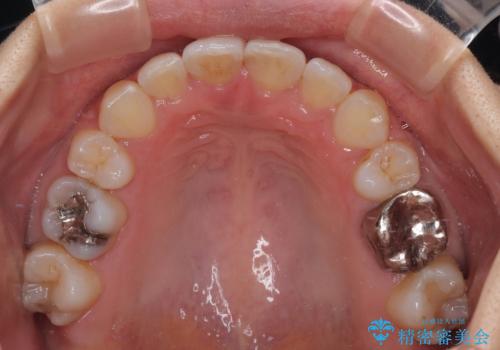
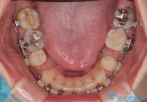
上下左右の第一小臼歯4本を抜歯して治療を行うことがセオリーでしたが、左下は第二小臼歯が銀歯であったため、イレギュラーではありますが、そちらを抜歯しました。
その影響で治療期間は長くなりましたが、処置していない歯を保存することができました。
ワイヤー矯正の注意事項(リスク・副作用など)
- 治療中は違和感や痛みが起こることがあります
- 症状により、抜歯が必要な場合があります
- 治療中は歯磨きがしにくくなるため、虫歯や歯周病になりやすくなります
- 矯正治療後の保定が不十分だと後戻り(元の位置に戻ろうとする動き)をします
- 自費診療(保険適用外)となります
当サイトの内容、テキスト、画像等の無断転載、複製、複写、盗用を固く禁じます。


























