症例詳細
Case detail
欠損や残存乳歯、深い咬み合わせ ワイヤー矯正で咬合改善
治療症例の内容
- 診療科目
- 担当医
- 藤巻太一朗(ドクタープロフィール)
- 患者様
- 20代女性
- 矯正装置
- メタルブラケット
- 治療期間
- 3年2ヶ月
- 治療回数
- 30回以上
- 治療計画
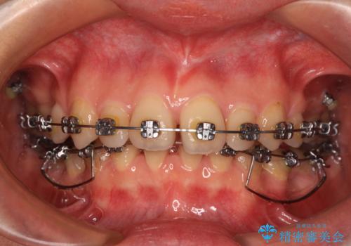
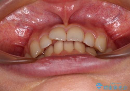
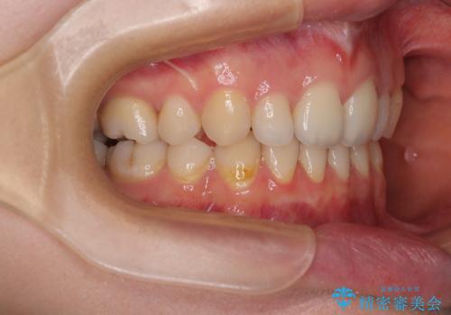
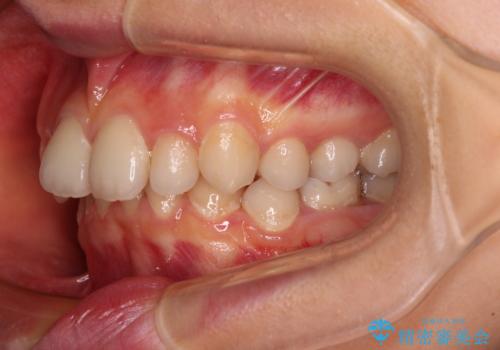
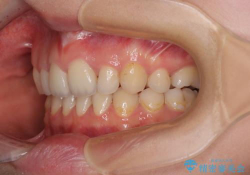
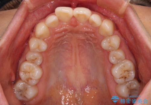
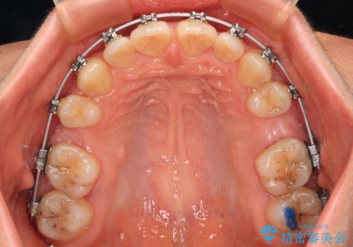
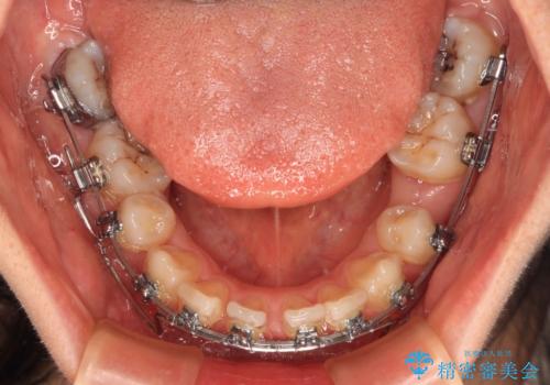
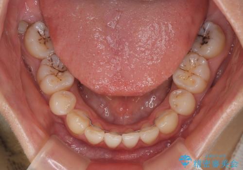
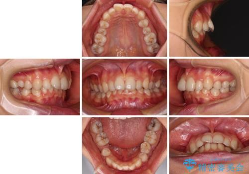
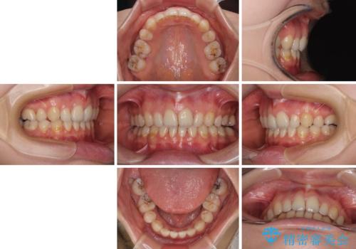
- 後続永久歯の欠損によるスペースと残存乳歯、深い咬み合わせを気にして来院された患者様です。
乳歯を残し、欠損部位のスペースを適正な幅に拡大し、インプラント補綴治療により歯列を整える治療も考えられましたが、ご本人から飛び出している前歯をどうしても引っ込めたいとの要望があったため、残存乳歯ならびに上顎左右第二小臼歯を抜歯して、歯列を整えることとしました。
上下臼歯の咬み合わせ改善には補助装置を、深い咬み合わせ改善にはユーティリティーアーチを活用し、ワイヤー装置にて矯正治療を行うこととしました。
- 費用(概算)
- 105万円(税込)費用は治療当時の料金となります
治療について
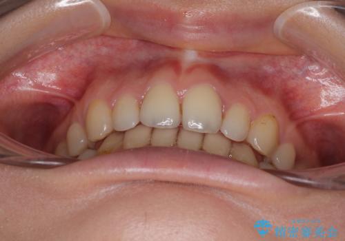
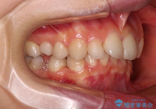
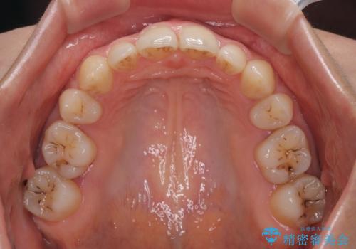
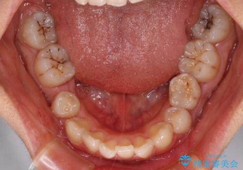
甚大な咬合力に抵抗して過蓋咬合を改善する必要があり、更には口元が引っ込みすぎることがないように仕上げていく必要もあったため、治療期間は3年を超えましたが、当初計画通りの仕上がりで治療を終えることができました。
ワイヤー矯正の注意事項(リスク・副作用など)
- 治療中は違和感や痛みが起こることがあります
- 症状により、抜歯が必要な場合があります
- 治療中は歯磨きがしにくくなるため、虫歯や歯周病になりやすくなります
- 矯正治療後の保定が不十分だと後戻り(元の位置に戻ろうとする動き)をします
- 自費診療(保険適用外)となります
当サイトの内容、テキスト、画像等の無断転載、複製、複写、盗用を固く禁じます。


























