症例詳細
Case detail
左右に顎がずれた咬み合わせ ワイヤー矯正で咬み合わせを改善
治療症例の内容
- 診療科目
- 治療カテゴリ
- 担当医
- 藤巻太一朗(ドクタープロフィール)
- 患者様
- 20代男性
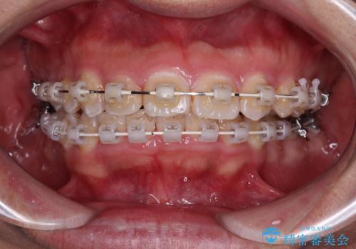
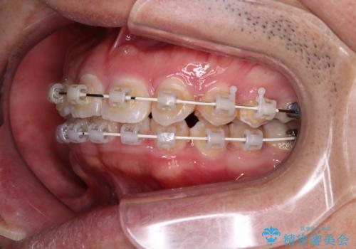
- 矯正装置
- 審美装置
- 治療期間
- 2年5ヶ月
- 治療回数
- 10-30回
- 治療計画
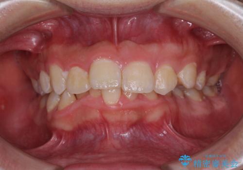
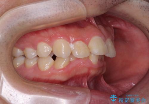
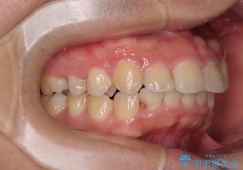
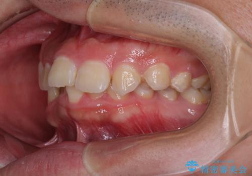
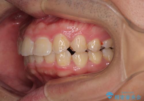
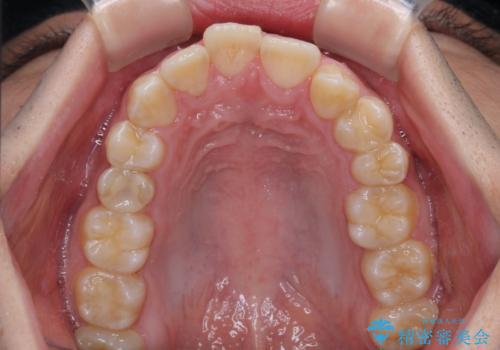
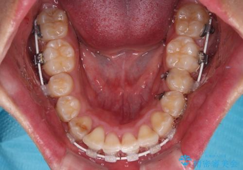
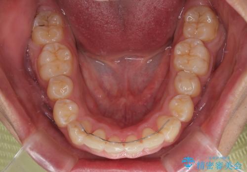
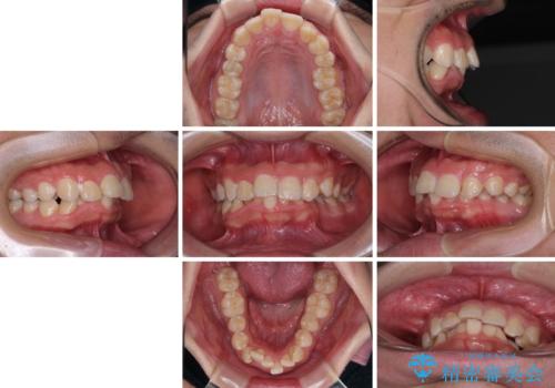
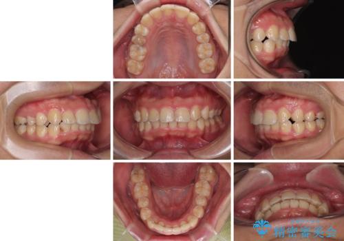
- デコボコと奥歯の咬み合わせのズレを気にして来院された患者様です。
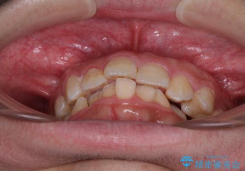
骨格的に、下顎が右側にずれており、左側の咬み合わせに鋏状咬合などのアンバランスが生じている状態でした。
また、上顎前歯に欠損が1本あり、上下ともに前歯部に叢生が認められ、下顎前歯の大半が隠れてしまうほどの過蓋咬合も認められました。
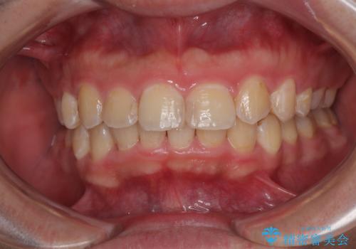
咬合平面を平坦にしながら前歯の咬み合わせを挙上し、デコボコと鋏状咬合も改善していくこととしました。
- 費用(概算)
- 95万円(税込)費用は治療当時の料金となります
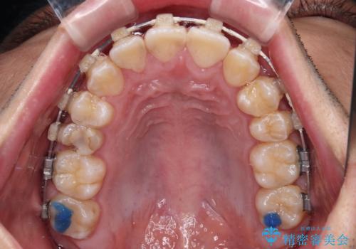
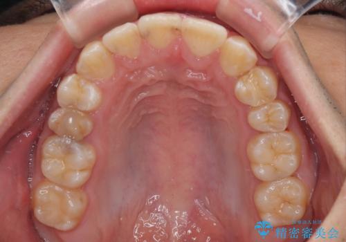
治療について
骨格的な左右差が大きかったため、上下の正中のズレや、左右奥歯の咬み合わせなどは妥協的な仕上がりとなりました。
骨格的なズレに対応するにはワイヤー矯正が至適であり、マウスピース矯正は選択しないようにお話をしました。
ワイヤー矯正の注意事項(リスク・副作用など)
- 治療中は違和感や痛みが起こることがあります
- 症状により、抜歯が必要な場合があります
- 治療中は歯磨きがしにくくなるため、虫歯や歯周病になりやすくなります
- 矯正治療後の保定が不十分だと後戻り(元の位置に戻ろうとする動き)をします
- 自費診療(保険適用外)となります
当サイトの内容、テキスト、画像等の無断転載、複製、複写、盗用を固く禁じます。


























