症例詳細
Case detail
不釣り合いで境目の露出した前歯 オールセラミッククラウンによる審美歯科治療
治療症例の内容
- 診療科目
- 担当医
- 藤巻太一朗(ドクタープロフィール)
- 患者様
- 50代女性
- 治療期間
- 2ヶ月
- 治療回数
- 2-5回
- 治療計画
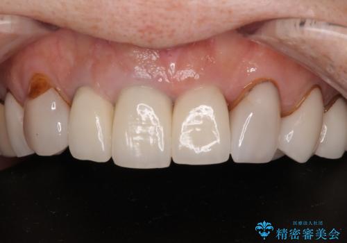
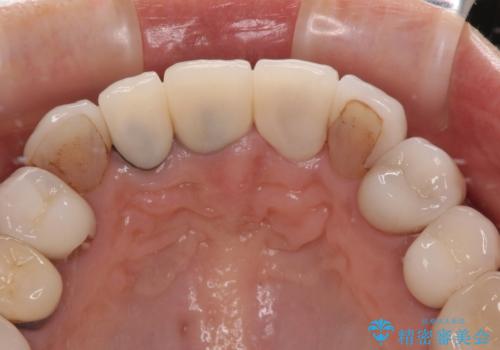
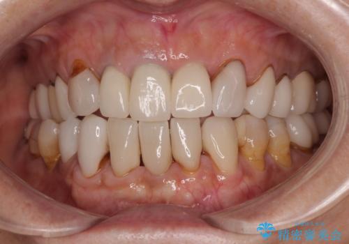
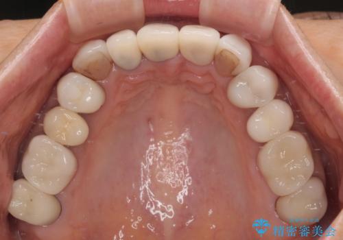
- 前歯のセラミックが欠けたり色調が不揃いであったりすることを気にして来院された患者様です。
20年以上前から、むし歯になったり詰め物が欠けたりする度に部分的に処置を行ってきたそうですが、この際統一感のある前歯にしたいとのことで、上顎前歯9本をオールセラミッククラウンによる補綴治療を行うこととしました。
- 費用(概算)
- 120万円(税込)費用は治療当時の料金となります
治療について
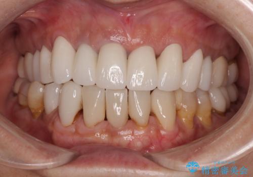
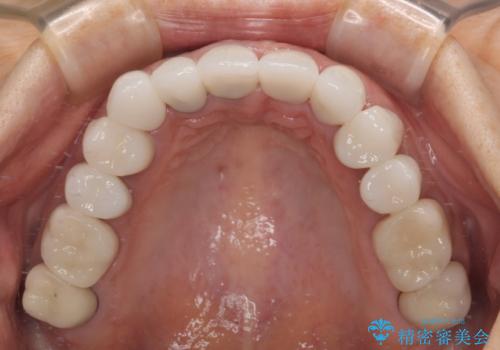
色調が統一されるだけでなく、歯肉ラインに見えていた茶色の境目も綺麗に改善されました。
セラミック治療の注意事項(リスク・副作用など)
- 天然歯を削ります
- 硬い素材は天然歯を傷つけてしまう場合があります
- かみ合わせや歯ぎしりが強すぎる方はセラミックが割れてしまう可能性があります
- 自費診療(保険適用外治療)となります
当サイトの内容、テキスト、画像等の無断転載、複製、複写、盗用を固く禁じます。










