症例詳細
Case detail
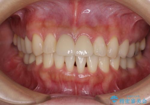
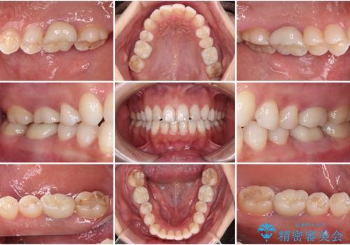
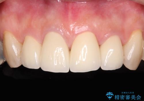
全顎のセラミック治療(30代女性、治療期間4ヶ月間)
治療症例の内容
- 診療科目
- 担当医
- 藤巻太一朗(ドクタープロフィール)
- 患者様
- 30代女性
- 治療期間
- 4ヶ月
- 治療回数
- 2-5回
- 治療計画
- 前歯・小臼歯10歯:オールセラミック(ジルコニアクラウン)にて補綴
大臼歯部6歯:メタルボンドクラウンにて補綴
下顎最後臼歯2歯のインプラント上の被せ物は、そのままとする(インプラントメーカー不明のため)
- 費用(概算)
- 治療費の目安: 180万円費用は治療当時の料金となります
治療を終えて
毎回2~3時間の診療時間をいただき、4ヶ月間という短期間で治療することができました。痛みや外見の改善はもちろんのこと、咬み合わせも安定させることができ、お口に対するストレスがなくなったと、大変満足していただけました。
リスクについて
セラミックは破折などにより修復や再製作が必要となることがあります。
動画
セラミック治療の注意事項(リスク・副作用など)
- 天然歯を削ります
- 硬い素材は天然歯を傷つけてしまう場合があります
- かみ合わせや歯ぎしりが強すぎる方はセラミックが割れてしまう可能性があります
- 自費診療(保険適用外治療)となります
当サイトの内容、テキスト、画像等の無断転載、複製、複写、盗用を固く禁じます。






