症例詳細
Case detail
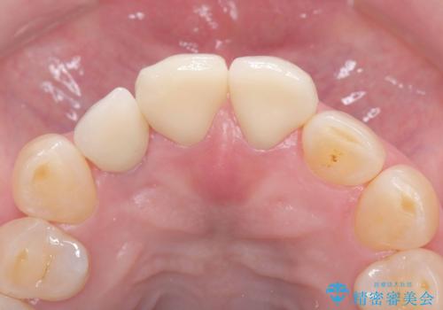
前歯の隙間とへこみが舌で触ると気になる|矯正治療は絶対にしたくない|抜歯即時インプラント+オールセラミッククラウンで審美修復
- 患者様
- 50代女性
- 治療期間
- 3ヶ月
- 治療回数
- 2-5回
- 治療計画
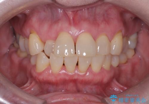
- 前歯の隙間とへこみが気になり、特に舌で触ると気になってストレスを感じるとのことで来院された患者様です。
上下ともに軽度の叢生があり、下顎がやや前突傾向にあったため、本来であれば矯正治療が第一選択となります。矯正によって下の前歯を後方に移動させることで、咬み合わせの改善とともに前歯のデコボコも整えることができます。
しかし、患者様はワイヤー矯正もマウスピース矯正も「絶対にしたくない」との強いご希望がありました。
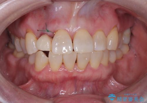
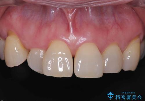
そのため今回は、右上2番を抜歯し、右上1番および左上1番をオールセラミッククラウンで審美的に修復しました。
また、歯科治療への不安が強かったため、静脈内鎮静法を併用してリラックスした状態で治療を行いました。
- 費用(概算)
- 税込110万円(インプラントの手術代+オールセラミッククラウン5年保証×3本+静脈内鎮静代全て込み)費用は治療当時の料金となります
治療について
上下に叢生(歯のデコボコ)と反対咬合があるため、本来であれば矯正治療が最も理想的な治療選択となります。
矯正によって歯並びや咬み合わせを整えた後、必要に応じて歯の形や色を整えるためにホワイトニングやセラミック治療を行うことで、より自然で美しい仕上がりが期待できます。
しかし、患者様それぞれに治療への考え方や事情があり、その思いもさまざまです。
当院では患者様の背景やご希望をしっかりと伺い、そのうえで最適な代替治療をご提案しています。
当院は総合歯科として、矯正・インプラント・審美・保存治療など幅広い治療選択肢を持ち、患者様一人ひとりに合った最善の治療を提供いたします。
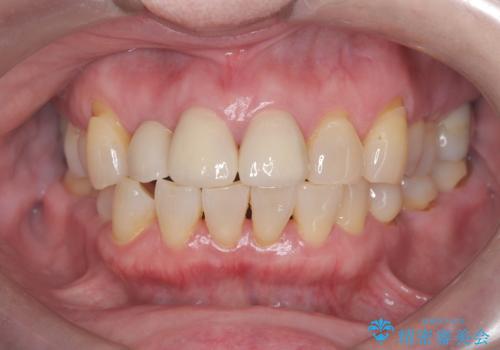
インプラント治療は、低侵襲で短期間に行える「抜歯即時インプラント治療」を選択しました。
この方法は、抜歯したその日にインプラントを埋入し、手術が1回で済むのが大きな特徴です。
治療期間も短く、抜歯からわずか3か月でオールセラミッククラウンを装着することができます。
また、オペ当日には仮歯まで装着するため、見た目を気にせず普段通りの生活を送ることができます。
セラミック治療の注意事項(リスク・副作用など)
- 天然歯を削ります
- 硬い素材は天然歯を傷つけてしまう場合があります
- かみ合わせや歯ぎしりが強すぎる方はセラミックが割れてしまう可能性があります
- 自費診療(保険適用外治療)となります
インプラント治療の注意事項(リスク・副作用など)
- 外科手術のため、術後に痛みや腫れ、違和感を伴います
- メンテナンスを怠ったり喫煙により、お口の中に大きな悪影響を及ぼすインプラント周囲炎等にかかる可能性があります
- 糖尿病、肝硬変、心臓病等の場合、インプラント治療ができない可能性があります
- 高血圧、貧血・不整脈等の場合、インプラント治療後に治癒不全を招く可能性があります
- 自費診療(保険適用外治療)となります
当サイトの内容、テキスト、画像等の無断転載、複製、複写、盗用を固く禁じます。





















