症例詳細
Case detail
変色を綺麗にしたい 前歯と奥歯のオールセラミッククラウン治療
治療症例の内容
- 患者様
- 40代女性
- 治療期間
- 3ヶ月
- 治療回数
- 5-10回
- 治療計画
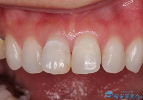
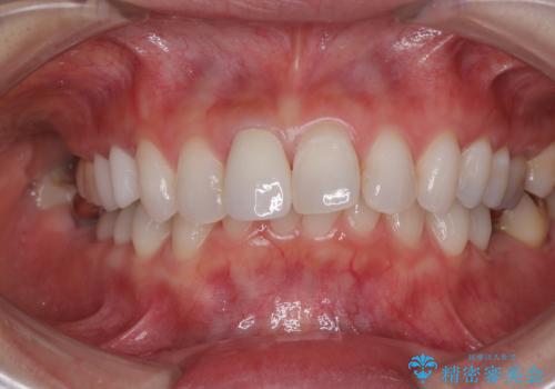
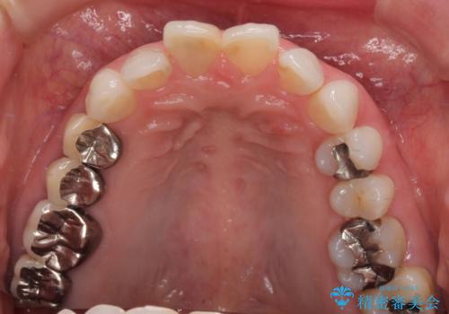
- 前歯の変色と、以前装着したクラウンが黄ばんできたことを気にして来院された患者様です。
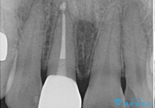
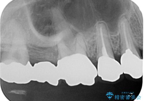
前歯に変色が起こる場合、神経組織の失活により引き起こる可能性が高いため、診察を行ったところ、根尖部の病変や叩いたときの痛みなどが認められました。
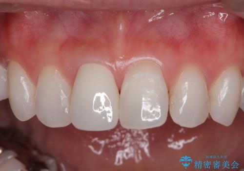
まずは根管治療を行い、痛みの消退を確認してからオールセラミッククラウンによる補綴治療を行うこととしました。
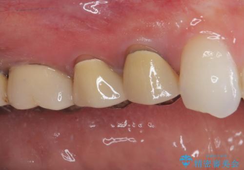
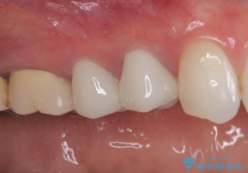
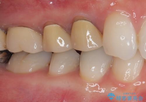
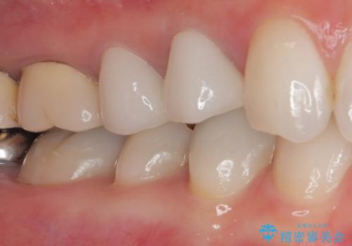
黄ばんできてしまった小臼歯部のクラウンは、根尖部に症状を認めないため、そのままオールセラミッククラウンによる補綴治療を行うこととしました。
- 費用(概算)
- 56万円(税込)費用は治療当時の料金となります
治療について
色がやや白いと感じましたが、ご自身でホームホワイトニングをされているそうで、今後周辺の歯を白くしていくとのことでした。
前歯に痛みがあるという実感はなかったそうですが、診察で叩いたときの痛みを感じた際、今までに同様の痛みや違和感を感じたことがあったとのことでした。
初回の根管治療で痛みや違和感は消退したため、その後は速やかに補綴治療を行いました。
セラミック治療の注意事項(リスク・副作用など)
- 天然歯を削ります
- 硬い素材は天然歯を傷つけてしまう場合があります
- かみ合わせや歯ぎしりが強すぎる方はセラミックが割れてしまう可能性があります
- 自費診療(保険適用外治療)となります
根管治療の注意事項(リスク・副作用など)
- 根管治療により類似の全ての症例の問題が解決するわけではなく、症例はあくまでも一例です
- 根管治療により痛みや腫れがひかない事や、術後に痛みや腫れが生じる事、治療によるファイル破折やパーフォレーションなどの偶発症、術後の歯根破折を生じる可能性もあります
- 自費診療(保険適用外)となります
当サイトの内容、テキスト、画像等の無断転載、複製、複写、盗用を固く禁じます。





















